보상더하기 블로그

손가락 접합술 후유장해 보상 알아보기, 꼭 받을 보험금입니다

「보상더하기」는 10년 이상 수많은 경험으로 성공적인 보상을 이루어 온 손해사정사와 함께합니다.

손가락 접합술 후유장해 보상 알아보기, 꼭 받을 보험금입니다

image

「보상더하기」는 10년 이상 수많은 경험으로 성공적인 보상을 이루어 온 손해사정사와 함께합니다


사고로 손가락 끝이 절단되어 접합술을 받고, 후유장해 보상받은 사례를 소개하겠습니다. 개인보험의 몰라서 놓칠 수 있는 보험금! 정말 많이 있는데요. 빠짐없이 받을 수 있도록 오늘 내용도 잘 살펴보시기 바랍니다.

image

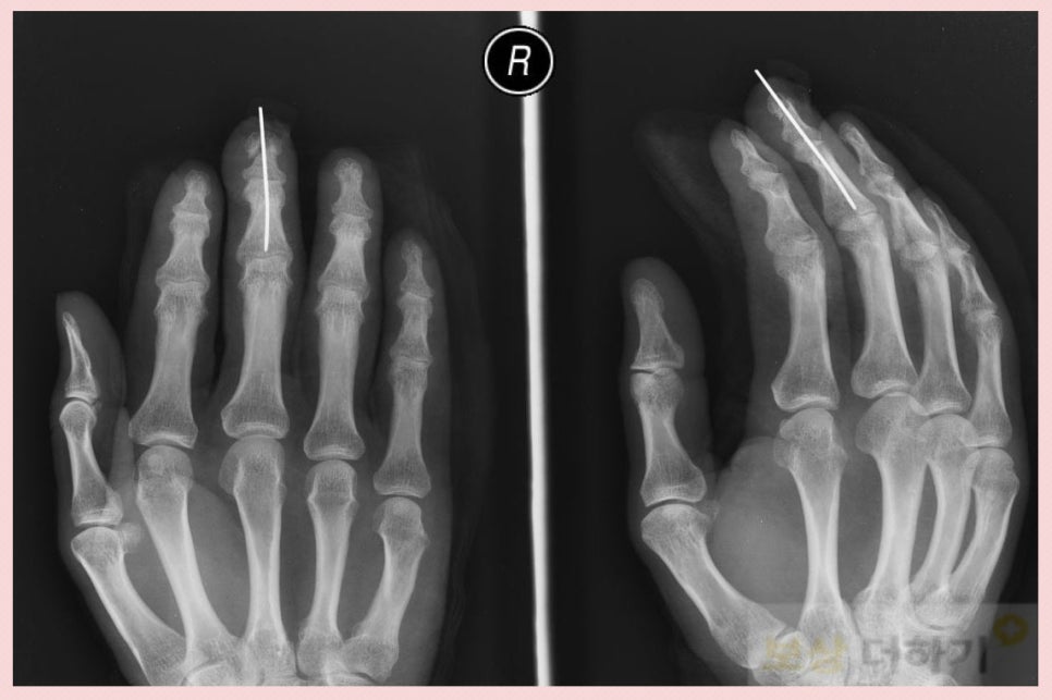
의뢰인은 자동차 휠 부분에 손가락을 다치셨어요. 수리가 잘 되었는지 확인을 하시려다가 사고가 일어나게 된 건데요. 경지골, 즉 3번째 손가락의 끝부분이 절단되었습니다. 그 외 골절, 신경 손상 등의 진단을 받으셨어요.

이 사고로 접합술을 받으셨습니다. 아래 사진은 강선을 이용하여 뼈를 맞추고 고정해 준 모습입니다.

image

개인보험에서 손가락의 후유장해는 AMA에 방식에 의한 운동 범위와, 골소실의 유무를 보고 평가합니다. 보험 가입을 언제 했는지에 따라 차이가 있는데요. 2005. 4월 이전 생명보험은 운동 범위만을 보며, 골소실의 유무는 평가하지 않습니다. 2018년 4월 이후 생명, 손해보험 통합 약관은 골소실과 함께 단축이 동반될 때만 후유장해로 인정됩니다.

image

손가락 끝부분 절단인 경우 대부분 관절면을 침범하지 않기 때문에 운동 범위에 별다른 제한이 없는 경우가 많아요. 그래서 보험약관상 장해 기준에 부합하지 않죠. 따라서 이 경우 많은 분들은 후유장해 보험금에 대해 생각하지 못하십니다. 의뢰인 역시 그런 경우였는데요. 다행히 저희와 함께하셔서 최대한의 보상을 받을 수 있었습니다.

image

장해진단서 발급 손해사정서 작성 후유장해 보험금은 몇 가지 자료 제출만으로 받을 수 있는 게 아닙니다. 장해가 남았다는 명확한 입증이 필요한데요. 의사의 소견이 담긴 자료가 그중 하나입니다. 저희는 관련된 보험약관 등을 의사에게 상세히 설명드렸고, AMA 방식의 객관적인 평가 내용이 담긴 진단서를 발급받을 수 있었습니다. 이 진단서와 기타 의료 기록들을 근거로 손해사정을 완료했습니다.

image

image

보험사는 지급했을까요? 손가락이 절단된 것이니 당연히 보험금을 문제없이 받을 수 있지 않을까 생각할 수도 있는데요. 엑스레이 상 골소실이 확실치 않다는 이유로 보험금을 지급하지 않으려고 했습니다. 저희는 CT 검사 등, 다시 검토를 하여 '손가락뼈 일부를 잃었을 때' 5%​ 에 해당된다는 것을 입증하였습니다. 결국, 저희가 청구한 대로 인정을 받았고 후유장해 보험금으로 1천만 원 이상을 받을 수 있었습니다.

image


오늘의 사례를 통해 알 수 있듯이 나에게 충분히 해당되지만 단지 몰라서 놓치는 보험금이 많다는 것이죠. 또한 보험사로부터 거절을 당할 경우, 적절한 대응을 하기도 어렵습니다. 따라서 내 상황에서는 어떤 보상이 가능한지 상담을 받아보시기 바랍니다. 무료 상담이니 부담 없이 문의하세요.

image