보상더하기 블로그

발뒤꿈치 종골 골절 후유증 - 개인보험에서 이 보험금 꼭 챙기세요!

안녕하세요.

발뒤꿈치 종골 골절 후유증 - 개인보험에서 이 보험금 꼭 챙기세요!

image

안녕하세요. 함께하면 더 커지는 보상, 보상더하기입니다. 오늘은 종골 즉 발뒤꿈치뼈 골절에 대해 알아보고 후유증이 남게되면 내가 가입한 보험에서 꼭 챙겨야할 보험금은 무엇인지 실제 사례를 통해 소개해 드리겠습니다.


종골(발뒤꿈치뼈)골절

image

종골은 발뒤꿈치를 구성하는 뼈인데요. 체중을 지탱하고 충격을 흡수하는 중요한 역할을 하죠. 튼튼한 이 뼈도 충격을 받아 골절이 될 수 있는데 언제 많이 발생할까요? 어딘가에서 떨어지는 경우를 생각해보면 흔히 발로 착지를 하게 됩니다. 특히 발꿈치로 가장 많은 충격이 가해지게 되죠. 따라서 낙상사고에서 종골 골절이 흔히 생기고, 교통사고 등 강한 충격을 받을 때에도 일어납니다.

image

종골 골절은 후유증이 남을 수 있어요

미세한 골절 정도가 아니면 대부분 수술적 치료를 합니다. 그 후 깁스를 하고 안정을 취하게 되는데요. 서 있기만 해도 체중이 뒤꿈치에 실리게 되는 부위이다보니 완전히 회복하는데 있어 어려움이 있습니다. 또한 발목 관절이 움직이는 데 제한이 생기기도 합니다. 따라서 통증이 그리 심한 것 같지 않더라도 종골이 골절되셨다면 후유증에 대해 염두해 두시는 것이 좋습니다.

후유증이 남았다면 꼭 챙겨야 할 보험금은?

image

치료를 잘 받았지만 후유증이 남았을 경우 가입하신 개인보험 후유장해 보험금을 받을 수 있습니다. 만약 후유장해에 관한 담보가 확인 되셨다면 후유장해 보험금 청구가 가능한데요. 만약 가입금액이 1억원이라면 1억원 × 후유장해 지급률 = 수령하실 보험금 장해 상태에 따라 산정되는 지급률이 만약 10%라면 총 1천만원을 받게 되는 것이죠. 보상 금액이 매우 큰 편이라 보험사에서 먼저 알려주지 않는 보험금이니까요, 꼭 기억해 두시기 바랍니다.

image

실제 개인보험 후유장해 보험금 받은 사례

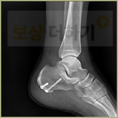
S님은 2~3미터 높이의 언덕에서 굴러떨어지는 일이 있었습니다. 다행히 다른 곳은 괜찮았지만 발을 다쳐 큰 통증을 느끼셨어요.

image

진단명: 종골의 골절, 폐쇄성 S9200 검사결과 종골이 골절되었음을 진단받았고, 수술적 치료가 불가피하였습니다.

image

image

뼈의 정복 및 내고정술을 하여 유합이 잘 되도록 하였습니다.

후유증이 남아 보험금 청구 진행

S님은 수술을 받고 재활을 했지만 발목을 움직일 때 불편함이 남으셨어요. 진단비나 치료비 외에도 받을 수 있는 보상은 없는지 알아보시던 중 저희와 연락이 닿았습니다. 우선 가입하신 보험내역을 모두 확인했는데요.

image

상해일반후유장해 1억원 포함하여 4개의 보험에서 총 2억 5천만원의 후유장해 담보가 있었어요. 이렇게 후유장해 보험금을 청구할 수 있다는 점을 확인 후에 S님의 장해 상태에 대한 검토를 했습니다. 본인은 아무리 불편해도 보험약관에 부합하는 상태에 해당하지 않는다면 소용이 없기 때문인데요. 종골 골절로 인해 발목 관절의 움직임에 제한이 생긴 경우 발목 관절이 3/4 제한되었을 때 후유장해에 대한 지급률이 나오게 됩니다.

image

영상CD 등을 통해 분석한 결과 후유장해에 해당한다는 판단을 하여 후유장해 보험금 청구를 진행하게 되었습니다. 보험사에서는 최소한의 보험금 지급을 위해 의료자문 등 여러 과정을 거쳤지만, S님은 처음부터 저희와 함께한 덕분에 잘 준비할 수 있었어요. 최종 심사 결과는? 처음에 청구한 대로 발목관절 3/4제한된 '약간의 장해' (지급률 5%)에 해당하여 후유장해 보험금으로 1,200만원 이상을 받았습니다.


종골 골절 후유증 후유장해 보험금 잊지마세요!

오늘 살펴본 것처럼 종골 골절은 수술 후에도 후유증이 남을 수 있어요. 그럴 땐 후유장해 보험금 청구 할 수 있다는 것 꼭 기억하시고 이와 관련하여 궁금하신 점은 저희 '보상더하기'에 문의주세요. 무료 상담을 통해 보상의 가능성에 대해 알아보시고 필요한 경우 전문가와 함께하셔서 최대한의 보상을 받으시기 바랍니다.

image