보상더하기 블로그

계단 낙상 - 복사 골절 내고정술 후유장해 보상은?

안녕하세요.

계단 낙상 - 복사 골절 내고정술 후유장해 보상은?

image

안녕하세요! 보험소비자의 권리를 위해 일하는 『보상더하기』입니다. 요즘 정말 매서운 한파가 지속되고 있는데요. 이럴 때일수록 갑작스런 사고에 조심해야 겠습니다. 얼어붙은 도로에 미끄러지는 일도 빈번하게 일어나고, 특히 주머니에 손을 넣고 다니다가 더 큰 사고로 이어지기도 하기 때문입니다. 안그래도 꽁꽁 얼어붙은 날씨로 인해 생활에 불편함이 따르는데 다치기까지 하면 안되겠죠.

오늘 소개해 드릴 재해자분도 미끄러져서 발목을 다치신 경우입니다. 이번 사례를 통해 복사 골절 진단을 받았을 경우 후유장해 보상은 어떻게 되는지 알아보시기 바랍니다.

계단에서 미끄러져 복사 골절 진단받았어요

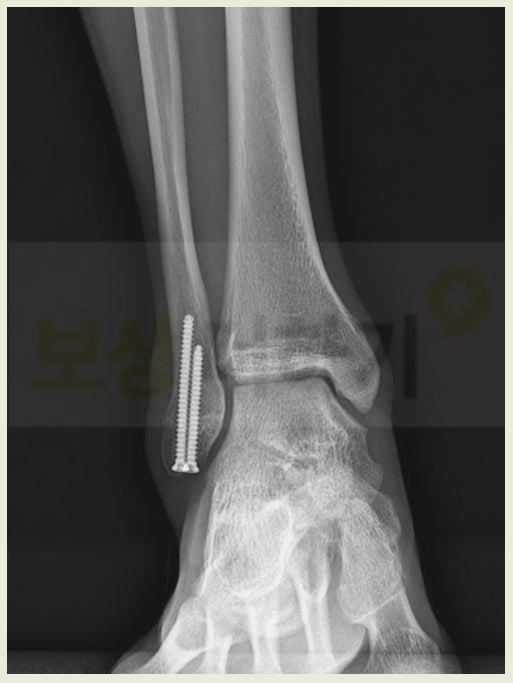
의뢰인은 외출을 하다가 계단에서 미끄러지셨습니다. 그 결과 복사 골절이 되셨어요. 복사뼈는 흔히 복숭아뼈라고 불리죠. 일상생활에서 발을 헛디디거나 발목이 접질리면서 흔하게 골절이 발생하는 부위입니다.

imagehttpsm.blog.naver.comduscl222829255149.JPG?type=w966)

복사뼈는 주변에 인대나 신경이 많은 부위이기 때문에 치료를 잘 받은 후에도 후유증이 남을 가능성이 높아요. 따라서 복사 골절 진단을 받으신 경우 후유장해에 대해 염두해 두시고, 그에 대한 보상은 어떻게, 얼마나 받을 수 있는지 알아보시는 게 좋습니다.

image

의뢰인의 경우 자연적인 유합이 어려워 수술을 시행받았습니다. 뼈를 제 위치로 맞춘 다음 나사못으로 단단히 고정을 시키는 내고정술이었습니다.

image

수술을 받은 후 재활 치료에 들어갔는데요, 이렇게 치료를 받으셨음에도 발목에는 여전히 불편함이 있었습니다. 그래서 [후.유.장.해]에 대해 검색을 하시다가 저희 『보상더하기』에 문의하시게 되었죠.

후유장해 남았다면 전문가 필요한 이유

후유증이 남게 되면 너무 불편할 수 밖에 없는데요, 보험사는 이를 쉽게 인정해주지 않습니다. 너무하다는 생각이 들죠? 후유장해로 인정을 받기 위해서는 보험약관의 관련 기준에 부합해야 하는데 이 기준은 입원비, 진단비 등과 달리 애매하게 규정되어 있어서 어느 병원, 어느 의사에게 진단 받았는지에 따라서도 지급률이 달라지곤 합니다. 만약 나에게 남은 장애에 비해 더 낮은 지급률이 인정된다면 그에 따른 보상 금액도 현저히 낮을 수밖에 없어요. 따라서 후유장해 청구에 있어서는 경험 많은 전문가와 함께하는 것이 중요합니다.

후유장해 보험금 청구 결과

저희는 의뢰인의 장해 상태에 대해 면밀한 검토 후, 보상 가능성에 대해 말씀드렸습니다. 상담 후에는 저희를 믿고 진행을 맡겨 주셨어요. 의뢰인의 경우 나이가 어리기 때문에 영구적인 장애에 대한 입증이 더욱 쉽지 않았습니다. 추후 상태가 호전 될 가능성을 높게 보는 것이었죠. 하지만 수많은 경험을 바탕으로 이번에도 기대했던 결과를 얻을 수 있었는데요. 공신력있는 제3병원에서 AMA 방식의 [후.유.장.해.진.단.서]를 받아, 필요한 각종 서류들을 취합하여 의뢰인의 청구를 도와드렸고, 그 결과

image

'한 다리의 3대관절 중 1관절의 기능에 뚜렷한 장해를 남긴 때' 10% 지급률을 인정받아 800만원의 후유장해 보험금을 수령할 수 있었습니다.


복사 골절 진단을 받으셨다면 이렇게 후유증이 남을 가능성도 생각해 두시고, 그에 따른 보상에 대해 알아보시기 바랍니다. 후유장해 보험금은 액수가 크기 때문에 보험사에서 먼저 얘기하지 않습니다. 내가 가입했더라도 필요할 때 못 받을 수 있는 것이죠. 이런 억울한 일이 생기지 않게 오늘의 포스팅에 유의해 주시고 궁금한 점이 있으시다면 아래 전화 또는 카톡으로 문의 주세요. 『보상더하기』는 십 년 이상 오랜 경력의 전문 손해사정사가 함께합니다.