보상파트너 블로그

정강이뼈 골절, 정강이 골절, 경골(tibia) 골절 후유증, 후유 장해 보상 사례

안녕하세요.

정강이뼈 골절, 정강이 골절, 경골(tibia) 골절 후유증, 후유 장해 보상 사례
Table of Contents

image


안녕하세요. 보상파트너입니다. 오늘도 골절로 금속 고정술 한 고객님 실제 보상 사례 소개해드립니다.


김@@님은 넘어지면서 다리를 다치는 사고를 당하셨는데요,

image

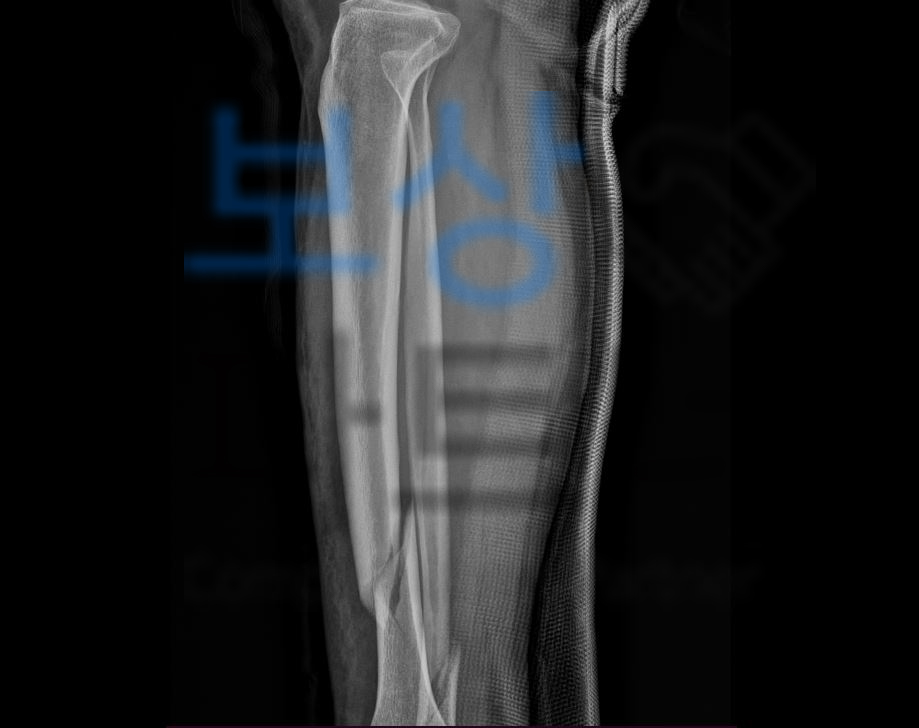
기록지 상의 tibia 즉 경골의 골절이 심각했고 정밀검사를 받아 보니…

image

위처럼 골절의 정도가 심각하여 금속으로 고정하여야 하였습니다. 골절진단비, 실비, 수술비는 보험사에서 요청하는 대로 진단서나 영수증을 받아 청구하시기만 해도 받으십니다. 하지만 저희가 소개해드릴 보험금은

청구만 해서 받는 보험금이 아닌

치료 이후의 장해를 보상해 주는

후유장해 보험금입니다.!

image

김@@님은 다행히 일반상해 항목으로 1억 원의 담보가 형성되어 있으셨습니다. 저희는 영상 CD, 의무기록지, 보험 증권을 살펴보며 고객님께 기본적인 상담을 도와드렸고 후유장해보험금 청구를 위임받게 되었는데요,

image

보통 후유장해보험금 청구를 위해서는 의료 전문의의 후유 장해 진단서가 필요합니다. 하지만 진단서 발급조차 쉽지 않아서 저희 보상 파트너에 문의하시는 분들이 많으십니다. 저희는 의뢰인의 장해상태에 대해

올바르고 분명한 보험금을 위해

공신력 있는 대학병원의 전문의로부터

후유 장해진단서 발급을 진행하였고 그 결과,

image

의뢰인은 족관절 기능에 대한 **약간의 장해 5%**에 해당하셨습니다. 저희는 위 발급된 장애 진단서를 기초로 손해사정서와 증빙서류를 보험사에 송부하였고

image

물론 보험사에서는 내부 심사를 진행하여 약간의 장해 역시도 한시장해라고 주장했지만 보상 파트너의 적절한 대응으로! 5% 지급률 영구 장해로 인정받아!

정강이뼈 골절의

후유장해보험금 500만 원

지급받을 수 있었습니다. 후유장해 보험금 알아보셔서 내 보험에서 최대의 보상받으세요!

image

image

보상 파트너의 상담은 언제나 무료로 이루어집니다.

1688-4951

편하게 문의하시기 바랍니다. 감사합니다.