보상파트너 블로그

요추2번 허리 시멘트 시술 비용 내 보험에서 보상 받기!(1,900만원)

안녕하세요 손해사정 전문 「보상파트너」 입니다.

요추2번 허리 시멘트 시술 비용 내 보험에서 보상 받기!(1,900만원)
Table of Contents

image

안녕하세요 손해사정 전문 「보상파트너」 입니다! 허리 골절로 인해 시멘트 시술(척추체 성형술)까지 받으셨다면, 치료비 부담뿐만 아니라 이후 후유증까지 걱정이 많으실 텐데요.

"수술이 아니라 시술인데 장해 보상이 되나요?"

많은 분이 궁금해하시고, 실제 주치의조차 안 된다고 말하는 이 부분. 오늘 저희 「보상파트너」가 경기 지역 의뢰인분의 1,900만 원 보상 성공 사례를 통해 명쾌하게 답을 드리겠습니다!

피해자 : 50대 초반 여성(경기) **부상 상황 : **자택 의자에서 낙상사고 의뢰인께서는 평범한 일상 중 의자에서 낙상하시면서 허리에 강한 충격을 받으셨습니다. 극심한 통증으로 병원을 찾으셨고, 검사 결과 요추 2번 압박골절 진단을 받으셨습니다.

image

image.jpg?type=w966)

진단명(1) :

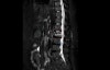
L2 부위의 골절 (요추2번 압박골절) X-ray 및 MRI 영상에서 L2(제2요추) 부위가 앞쪽으로 눌려 쐐기 모양으로 찌그러진 것이 확인되었는데요. 이것이 바로 압박골절입니다.

뼈가 외부 충격에 의해 내려앉듯 으스러지는 골절 형태로, 특히 골밀도가 낮은 중장년 여성에게 자주 발생합니다.

image.jpg?type=w966)

치료방법 :

경피적 척추체 성형술(시멘트시술) 의뢰인의 경우, 골절 부위가 불안정하여 경피적 척추체 성형술, 즉 '허리 시멘트 시술'을 받으셨습니다.

image.jpg?type=w966)

골절된 척추뼈 안에 가는 바늘을 삽입하여, 뼈 시멘트를 주입해 골절 부위를 고정하는 시술입니다. 수술과 달리 절개 없이 이루어지지만, 방사선 투시 장비를 이용한 정밀 시술로 척추의 안정성을 회복시켜 줍니다.

허리 시멘트 시술 비용 비용은 물론, 이후의 회복 과정까지 경제적·신체적 부담이 상당하셨는데요. 의뢰인께서는 치료를 받으시면서 자연스럽게 "내가 가입한 보험에서 보상을 받을 수 있지 않을까?" 하는 생각을 하게 되셨습니다.

image.jpg?type=w966)

수술 없이 보조기만 착용하여 회복하셨다고 해도, 약관상 **상해후유장해(3~80%)**에 해당이 됩니다. 척추 후유장해는 해석 범위가 넓기 때문에 손해사정 전문가의 정확한 판단이 매우 중요합니다.

보험 보상을 알아보시던 의뢰인께서, 처음에 마주한 것은 주치의의 거절이었습니다.

image

주치의로서는 사실 일반적인 답변이었을 수 있습니다. 하지만 이 말은 의뢰인께 큰 오해를 심어주었습니다. 시술 여부와 후유장해 인정 여부는 전혀 별개의 문제입니다. 척추 후유장해는 치료 방법(수술 vs 시술)이 아니라, 골절로 인한 척추의 형태 변형(압박률·각도 변형) 을 기준으로 판단합니다.

즉, 수술을 하지 않았더라도 골절로 인해 척추 형태에 변형이 남아 있다면 약관상 상해후유장해에 해당할 수 있습니다. 이 사실을 알게 되신 의뢰인께서, 바로** 「보상파트너」 **로 연락을 주셨습니다.

→ 후유장해 진단서 확보(AMA)

image

저희 보상파트너는 제3병원 전문의를 통해 후유장해평가를 진행할 수 있었습니다. 요추2번의 압박율을 측정한 결과 27%으로 보험약관 상 뚜렷한 기형30%에 해당하는 수치였죠.

→ 보험사 의료자문 결과에 대한 반박

보험사 역시 처음부터 쉽게 보상을 인정하지 않았습니다. 특히 의뢰인의 경우, 사고 당시 경미한 골감소증이 있었다는 이유로 보험사는 이를 근거로 보상금 삭감을 시도하였습니다.

저희 보상파트너는 오랜 실무 경험과 수많은 판례를 바탕으로, 보험사의 부당한 면책 주장에 강력히 대응하였습니다. 유사 사례에서 장해가 인정된 판례들을 제시하며, 일관된 기준 적용을 요구했습니다

약 한달 간의 시간동안 보험사와 수많은 의견이 오갔습니다. 보상파트너의 전문적인 대응 끝에 , 결국! 합계 약 1,900만 원의 보상금을 지급받게 되셨습니다. 처음에는 주치의도, 보험사도 모두 보상이 어렵다고 했던 사건이었습니다.

하지만 정확한 기준을 알고, 제대로 대응했기 때문에 의뢰인께서 당연히 받아야 할 보상을 온전히 받으실 수 있었습니다.

[ 비슷한 다른 사례가 궁금하시다면? 클릭 ↓ ]


첫째, "시술은 후유장해가 안 된다"는 것은 잘못된 상식입니다. 척추 후유장해는 치료 방법이 아닌 남겨진 변형의 정도로 판단합니다. 둘째, 골감소증, 기왕증 등을 이유로 한 보험사의 삭감 시도는 전문가의 도움을 받아 충분히 방어할 수 있습니다.

「보상파트너」는 경험 많고 실력 있는 손해사정사와 대형 보험사 조사관 출신의 직원이 함께합니다. 보상 지식에 있어서 약자일 수밖에 없는 고객의 편에서, 누락 없는 보상을 위해 항상 최선을 다해 도와드리고 있습니다.

비슷한 상황에 놓여 계신 분이 있다면, 포기하지 마시고 먼저 「보상파트너」에 문의 주세요.

image

image