보상파트너 블로그

[전동킥보드 사고 보상] 브레이크 고장, 쇄골 골절 합의금 3,200만 원 보상 받음

최근 도심 어디서나 쉽게 볼 수 있는 공유 전동킥보드는 편리한 이동 수단이지만, 그만큼 사고 위험도 도사리고 있습니다.

[전동킥보드 사고 보상] 브레이크 고장, 쇄골 골절 합의금 3,200만 원 보상 받음
Table of Contents

image

최근 도심 어디서나 쉽게 볼 수 있는 공유 전동킥보드는 편리한 이동 수단이지만, 그만큼 사고 위험도 도사리고 있습니다. 기기 자체의 결함이나 브레이크 작동 불량으로 인해 발생하는 사고는 이용자의 주의만으로는 막기 힘든 불가항력적인 상황이 많습니다.

오늘 소개해 드릴 사례는 내리막길 주행 중 브레이크 고장으로 '쇄골 원위부 골절' 진단을 받은 30대 남성 의뢰인의 이야기입니다. 보험사와의 치열한 공방 끝에 최종 합의금 3,200만 원을 수령하게 된 과정과, 여러분이 꼭 알아야 할 보상 핵심 포인트를 상세히 짚어드리겠습니다.

image

image

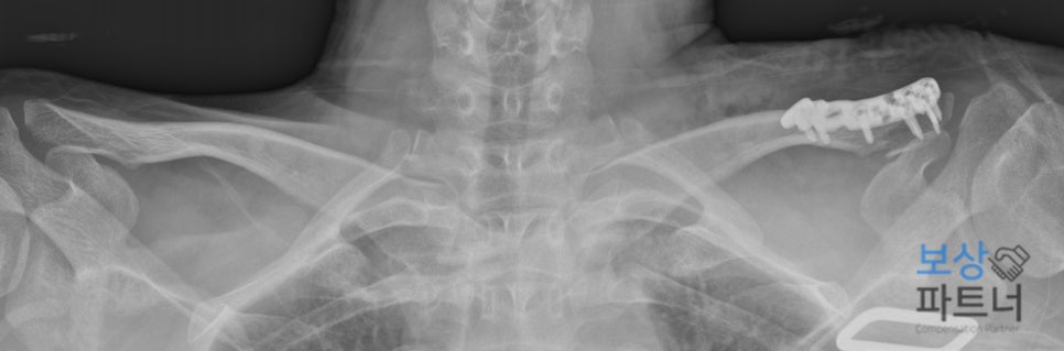
의뢰인(91년생, 남성)은 서울 시내에서 공유 전동킥보드를 이용해 귀가하던 중이었습니다. 완만한 내리막길에 접어들어 제동을 시도했으나, 킥보드의** 브레이크가 전혀 작동하지 않았**습니다.

가속이 붙은 상태에서 당황한 의뢰인은 중심을 잃고 왼쪽 어깨 방향으로 넘어지고 마셨습니다. 현장에서 즉시 응급실로 이송된 의뢰인은 정밀 검사 결과 쇄골뼈 골절을 진단 받으셨습니다.

상단에 첨부한 사진은 실제 의뢰인의 X-ray 영상인데요.. 빨간 박스로 표시된 부분이 바로 쇄골 원위부입니다.

image

전위가 심해 보존적 치료가 어렵다는 소견이 있었고 금속 플레이트와 나사를 이용한 고정술을 시행 받으셨습니다. 다행히 수술은 성공적이었으나 다친 부위가 어깨 관절의 움직임과 밀접하게 연관되어 있었습니다.

이런 경우 수술 이후에도 팔을 들어 올리거나 뒤로 젖히는 동작에서 운동 제한(강직)이 남을 가능성이 매우 높은데요.

image

공유킥보드 운영사는 의무적으로 대인배상 책임보험에 가입되어 있습니다. 브레이크 오작동처럼 기기 결함이 원인인 경우, 운영사 과실이 인정되어 운영사 측 보험사에 피해자로서 손해배상을 청구할 수 있습니다.

치료비는 물론 위자료, 휴업손해, 상실수익액까지 합의금 형태로 청구 가능한 핵심 경로입니다.

image

① 위자료

부상의 정도와 수술 여부, 그리고 무엇보다 후유장해의 정도에 따라 산정됩니다. 단순히 진단 주수에 따른 위자료가 아니라, 장해율에 따른 위자료 산정이 이루어져야 금액이 높아집니다.

② 휴업손해

입원 기간 동안 경제 활동을 하지 못한 부분에 대한 보상입니다. 보통 실제 수입의 85%를 인정하며, 입원 일수에 비례하여 계산합니다.

③ 상실수익액 (가장 중요!)

사고로 인해 신체에 기능적 장애가 남았을 때, 그 장해율만큼 미래의 소득이 감소했다고 가정하고 지급하는 보상금입니다.

④ 기타 손해배상금

통원 치료 시 발생하는 교통비(하루 8,000원 꼴)나 향후 핀 제거 수술비 등이 여기에 해당합니다.

image

의뢰인은 처음에 혼자서 보상 절차를 밟으려 하셨으나 곧 벽에 부딪혔습니다. 수술을 집도한 주치의가 "수술은 잘 됐으니 장해는 남지 않는다"며 후유장해진단서 발급을 완강히 거절했기 때문입니다.

의뢰인께서는 혼자서 진행하기엔 어려움이 있다 판단하셨고 보상파트너 블로그에 비슷한 사례를 보시고 상담을 요청하셨습니다. 이번 사례에서도 보험사는 두 가지 강력한 논리로 보상금 삭감을 시도했습니다.

보험사는 의뢰인의 안전모(헬멧) 미착용을 근거로 과실 비율을 대폭 높여 잡으려 했습니다. 하지만 저희는 사고의 근본 원인이 본인 부주의가 아닌 '브레이크 오작동'이라는 기기 결함에 있음을 입증했습니다.

이를 통해 사고 원인 제공에 대한 책임을 명확히 하여 의뢰인의 과실이 과도하게 잡히지 않도록 방어했습니다. 가장 큰 걸림돌은 수술 병원의 '맥브라이드 후유장해진단서' 발급 거부였습니다.

안타깝게도 대부분의 주치의들은 손해배상 관련 서류 발급에 소극적이며, "수술이 잘 되었으니 장해가 없다"는 입장만 고수하는 경우가 많습니다. 이에 저희 보상파트너는 제3의 전문 의료기관에서 의뢰인의 현재 상태(운동 제한 및 통증)를 객관적으로 평가 받을 수 있었는데요.

image

보험사는 장해를 인정하더라도 그 기간을 최소한(1~2년)으로 줄여 합의금을 낮추려 했습니다. 저희는 유사 판례와 의학적 소견을 바탕으로 한 데이터를 제시하여 논리적으로 반박하였고 최대한의 방어를 도와드릴 수 있었습니다.

그 결과, 배상책임보험에서 3,200만 원의 합의금을 지급 받으실 수 있었습니다!


오늘 알아보신 것처럼 후유장해 인정 여부, 노동능력상실률, 장해 기간 산정에 따라 결과는 수백만 원에서 수천만 원까지 크게 달라질 수 있습니다. 다만 이번 사례처럼 헬멧 미착용을 빌미로 과실 비율을 높게 잡으려는 보험사의 시도,** 장해진단서 발급 거절**처럼 혼자서는 대응하기 어려운 상황이 실제로 자주 발생합니다.

관련해서 도움이 필요하시다면 혼자 판단하지 마시고, 의료기록과 보상 구조를 정확히 아는 전문가의 검토를 받아보시는 것이 안전합니다. ^^ 15년 경력 손해사정사 『보상파트너』가 끝까지 함께하겠습니다.

image

image