
안녕하세요, 손해사정 전문 보상파트너입니다! 물기가 많은 작업장에서는 한순간의 방심으로 큰 부상을 입는 경우가 많습니다. 특히 넘어지면서 바닥을 짚을 때 발생하는 팔꿈치 골절은 수술 후에도 관절이 굳는 후유증이 남을 가능성이 매우 높은데요.
오늘은 업무 중 낙상사고로 팔꿈치 골절 및 수술을 받으신 후, 개인보험에서 1,000만원의 후유장해 보상금을 받으신 실제 사례를 소개해 드리겠습니다.

50대 초반 여성 의뢰인께서는 급식실에서 업무를 하던 중, 바닥에 남아 있던 물기로 인해 미끄러지면서 중심을 잃고 넘어지셨습니다. 넘어지는 순간 본능적으로 오른쪽 팔을 짚었고, 팔꿈치에 강한 충격이 전달되며 즉시 통증이 발생했습니다.
사고 직후 팔을 움직이기 어려운 상태였고, 응급 진료 후 정밀 검사가 진행되었습니다. 진단 결과는 생각보다 심각했습니다. 단순한 실금이 아닌, 관절 면이 조각난 **'요골 머리의 관절 내 분쇄골절'**이었습니다.
이러한 관절 내 골절은 관절면이 손상되기 때문에 치료 후에도 관절 기능 저하가 남을 가능성이 매우 높습니다. 단순 골절이 아닌 분쇄골절이었기에, 즉시 입원 후 수술이 필요한 상황이었죠.

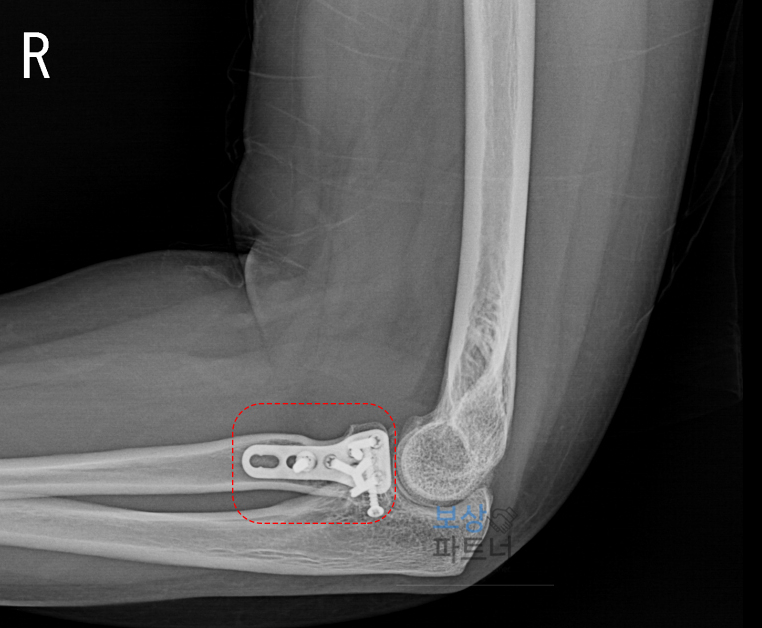
결국 의뢰인께서는 뼛조각을 직접 맞춘 뒤, 금속판과 나사로 고정하는 수술을 받으셨습니다. X-ray 상 팔꿈치 관절 부위에 금속판과 나사못이 삽입된 모습이 확인되는데요. 관절 내 골절이었기 때문에 안정적인 고정을 위해 내 고정물이 사용되었습니다.
수개월간의 재활 치료를 마쳤음에도 불구하고, 팔을 완전히 펴거나 굽히는 동작이 예전 같지 않았습니다. 특히 무거운 냄비를 들거나 반복적인 작업을 해야 하는 급식실 업무 복귀에 큰 지장이 생긴 상태였습니다.
의뢰인께서는 산재 보상 외에 개인적으로 가입한 보험에서도 후유장해 보험금을 받을 수 있다는 사실을 알고 저희를 찾아주셨습니다. 저희** 보상파트너**는 전화로 간단한 1차 상담을 도와드렸고 이후에 직접 만나 뵙고 자세한 상담을 도와드렸는데요.
아래와 같은 이유로 손해사정사 선임의 필요성을 느끼셨다고 합니다.
① 주치의 장해평가 거절

후유장해보험금을 신청하기 위해선 '후유장해진단서'가 필요합니다. 의뢰인께서는 6개월이 지난 후 가장 먼저 수술을 집도한 주치의를 찾아가 후유장해진단서 발급을 요청했습니다. 하지만 주치의는 X-ray 상 뼈가 잘 붙었다며 이 정도는 후유장해에 해당하지 않는다며 발급을 거부했죠.
이처럼 환자는 팔을 굽히고 펴는 것이 고통스러운데, 주치의는 의학적 유합 상태에만 집중하여 실제 기능적 제한을 과소평가할 수 있습니다.
② AMA, 주관절 ROM 등 복잡한 장해평가 기준

답답한 마음에 보험사에 직접 문의해 보지만, 들려오는 것은 외계어 같은 복잡한 용어들뿐입니다. 후유 장해는 단순히 "팔이 안 올라간다", "너무 아프다"라는 주관적 호소만으로는 절대 인정되지 않습니다.
주관절(팔꿈치)의 굴곡, 신전, 외회전, 내회전 등 운동 범위(ROM)를 정밀하게 측정하고, 이를 보험 약관 기준에 맞춰 정확히 수치화해야 하는데요. 일반인이 어떤 검사를 받아야 하고, 본인의 부상 부위와 상태에 가장 유리한 평가 기준이 무엇인지 스스로 판단하여 준비하기엔 의학적·법률적 지식의 벽이 너무나 높습니다.
저희는 의뢰인의 응급 기록부터 수술 및 재활 기록까지 전체 의료기록을 정밀 분석하였습니다.

정확한 후유장해 평가 준비
주치의는 계속해서 장해평가를 거절했기에 저희 보상파트너는 공신력 있는 제3병원에 장해평가를 의뢰하였습니다. 객관적이고 정확한 팔꿈치 관절 운동 범위를 측정하여 후유장해 진단서 발급을 도와드릴 수 있었는데요.
보험사와의 분쟁 대응
보험사에서는 운동각도와 한시장해 여부를 문제 삼으며 보험금 삭감을 시도하였습니다. 보험사에서 추가 요청하는 자료들에 대해서도 신속하게 대응하며, 적정한 보상이 이루어질 수 있도록 도움을 드릴 수 있었는데요.
결국 개인보험에서 후유장해 보상금 1,000만 원을 지급받게 되었습니다.
수술 후 6개월이 지났음에도 팔 움직임이 불편하다면, 여러분도 후유장해 보상의 대상자일 수 있습니다! 15년 경력의 베테랑 손해사정사 보상파트너와 함께 하실 수 있습니다. 후유장해 가능성 1차 무료 검토, 보험·산재 최적의 청구 전략 수립, 병원 및 보험사와의 복잡한 소통 대행까지! 고객님은 치료에만 집중하실 수 있도록 보험사와의 싸움은 저희가 대신하겠습니다.
궁금하신 점은 언제든 편하게 문의해 주세요!


