
안녕하세요, 손해사정 전문 보상파트너입니다! 업무 중 발생한 사고라면 산재에서 보상이 가능합니다. 그런데 많은 분들이 몰라서 놓치는 보험이 있습니다. 바로 근재보험입니다.
산재 보상을 받은 후에도, 그것으로 충분히 보전되지 않는 초과 손해분을 근재보험을 통해 추가로 보상받을 수 있다는 사실, 알고 계셨나요? 특히 경골 골절처럼 심각한 부상의 경우, 산재 보상만으로는 실제 손해를 다 커버하기 어렵습니다.
오늘은 작업 중 경골 골절 사고를 당한 근로자가 산재 외에 근재보험으로 1,800만 원을 추가 보상받은 실제 사례를 통해, 근재보험이 무엇인지 그리고 어떻게 청구해야 하는지 자세히 알려드리겠습니다!
많은 근로자분들이 산재보험은 알고 있지만, 근재보험은 생소하게 느끼십니다. 산재보험은 국가가 운영하는 사회보장 제도로, 업무 중 발생한 재해에 대해 기본적인 보상을 제공합니다.
요양급여: 병원비, 입원비, 약제비 등 (단, 비급여 항목 제외) 휴업급여: 치료 기간 동안 평균임금의 70% 지급 장해급여: 후유장해가 남을 경우, 장해등급에 따라 일시금 또는 연금 지급 그런데 여기서 끝이 아닙니다.
근재보험(근로자재해보상책임보험)은 건설 현장과 같은 고위험 사업장에서 사업주가 가입하는 민간 보험으로, 산재 보상으로 충분히 커버되지 않는 초과 손해분을 추가로 배상합니다. 비급여 치료비: 산재에서 지급하지 않는 비급여 항목 보상 (특수 수술재료비, 상급병실료 등) 위자료: 산재에는 없는 정신적 손해 배상 상실수익액: 후유장해로 인한 노동능력 상실률(%)을 평가하여, 가동 연한(65세)까지의 수익 감소분 배상 (산재 장해급여 공제 후) 즉, 산재는 기본 보상이고, 근재는 그 위에 추가로 받을 수 있는 초과 보상인 셈입니다.
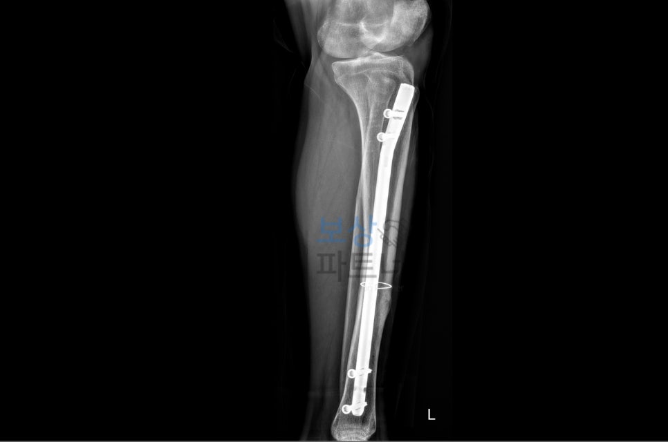
경골(tibia)은 정강이뼈로, 하퇴부에서 가장 큰 뼈이며 비골(fibula) 과 함께 다리를 지탱합니다. 이 부위가 골절되면 단순히 뼈만 부러지는 것이 아니라, 주변 혈관과 신경, 연부조직까지 손상될 위험이 높습니다.
특히 개방성 골절의 경우, 뼈가 피부 밖으로 노출되면서 감염 위험이 크게 증가하고, 골수염이나 불유합 같은 심각한 합병증으로 이어질 수 있는데요. 일반적으로 경골 골절 치료에는 체외 고정술, 관혈적 정복 및 금속 내고정술 같은 정형외과적 수술이 필요합니다.
또한 회복 과정에서도 장기간의 재활운동과 물리치료가 필수적이며, 제대로 된 치료가 이루어지지 않으면 하지 기능에 영구적인 장해가 남을 수 있습니다. 이처럼 경골 골절은 치료 비용도 많이 들고, 장기간 일을 못 하게 되며, 회복 후에도 후유증이 남는 경우가 많아서 산재 보상만으로는 실제 손해를 충분히 보전받기 어렵습니다.
바로 이럴 때 근재보험 청구가 꼭 필요합니다!
⑴ 사업주 과실 비율 입증
근재보험 청구의 가장 큰 관건은 사업주의 안전관리 소홀을 입증하는 것입니다. 회사에 근재보험이 있다고 해서 모두 청구가 가능한 것은 아니며, 사업주의 과실 비율만큼만 배상이 이루어집니다.
**만약 사업주 과실이 0%라면 근재 청구 자체가 어렵습니다. ** 그러므로 재해 발생 직후부터 현장 사진, 목격자 진술, CCTV 영상, 안전교육 기록 등을 꼼꼼히 확보해 두는 것이 중요합니다.
⑵ 노동능력 상실률 정확한 산정
근재보험 청구 시 손해액 산정의 핵심은 노동능력 상실률(%) 평가입니다. 이는 맥브라이드 후유장해 평가 방식에 따라 이루어지는데, 단순히 주치의에게 맡기면 후유증상이 제대로 반영되지 않을 위험이 있습니다.
한 번 평가된 내용은 기록으로 남아 추후 보상 과정에서 불리하게 작용할 수 있으므로, 반드시 전문가의 자문을 받고 진행해야 합니다.
⑶ 전문 손해사정사 선임의 중요성
근재 청구는 산재 관련 법규, 유사 판례, 의학적 소견을 종합적으로 검토하는 복잡한 과정입니다. 개인이 직접 진행하기에는 한계가 많고, 전문가 선임 여부에 따라 최종 합의금이 두세 배에서 많게는 열 배까지 차이가 날 수 있습니다.
따라서 신뢰할 수 있는 손해사정 전문가를 찾아 선임하시는 것을 강력히 권장드립니다.

60대 초반의 근로자께서 작업장 계단 사이로 발이 빠지면서 좌측 다리에 심각한 골절상을 입으셨습니다.

재해자께서는 산재 승인을 받아 요양급여, 휴업급여, 장해급여를 지급받으셨습니다. 하지만 심각한 손상과 장기간의 치료에도 불구하고, 산재에서는 제한적인 보상만 이루어졌습니다.

이후 저희 사무실로 연락을 주셔서** 근재 청구**를 함께 진행하기로 결정하였습니다. 우선 사고 경위를 면밀히 검토하여 사업주의 안전관리 소홀 부분을 입증하였고, 작업장 계단의 구조적 결함과 안전조치 미비를 구체적으로 제시했습니다.
또한 경골의 개방성 골절과 비골 골절이 동반된 복합 손상임을 의학적으로 입증하고, 장기간의 치료 과정과 향후 예상되는 기능 장해를 종합적으로 평가하였습니다.

청구 이후 보험사와의 분쟁대응 과정에서 초기에는 낮은 금액이 제시되었으나, 관련 판례와 의학적 소견을 근거로 꾸준히 대응한 결과, 최종적으로 근재보험에서 약 1,800만 원을 추가로 지급받게 되었습니다.
[ 근재 4,000만 원 다른 사례 궁금하시다면? ]
👇 클릭하여 참조
경골이나 하지 골절은 일상생활은 물론 직업 활동에도 큰 영향을 미치는 중대한 손상입니다. 이런 상황에서 치료와 재활, 그리고 복잡한 보상 절차를 혼자 감당하시기에는 너무 벅차실 수 있습니다.
이럴 때에는 전문가의 도움이 큰 힘이 될 것입니다. 올바른 증거 자료 확보와 체계적인 청구 전략을 마련한다면, 합당한 보상과 재정적 안정을 얻으실 수 있습니다. 하루빨리 건강을 회복하고 합당한 보상을 통해 앞으로의 커리어를 다시금 힘차게 꾸려나가시길 바랍니다. 😊

