
안녕하세요, 손해사정 전문 보상파트너입니다! 작업 중 기계에 손가락이 끼이는 사고는 현장에서 자주 발생하는 산업재해 중 하나입니다. 이때 가볍게는 염좌나 타박상이 생길 수 있으며, 심하면 힘줄·인대 파열이나 골절, 심지어 절단 사고까지 발생하곤 합니다.
이러한 상황에서 근로자는 산재 급여를 받을 수 있지만, 회사에서 가입한 단체보험으로 중복 보상도 가능하다는 사실을 모르는 분들이 많습니다. 그래서 지금부터 손가락 끼임사고 후, 회사 단체보험으로 상해후유장해 청구했던 사례를 중심으로 자세히 알려드리겠습니다!
"산재 신청하여 지급받았으니, 다른 보상은 중복으로 못 받는 거 아닌가?" 많은 분들이 위와 같이 혼동하실 수 있는데요. 결론부터 말씀드리면 실손이나 실비는 중복 보상이 불가하지만, 상해 특약(후유장해, 골절진단비, 입원일당) 등은 중복으로 지급이 가능합니다! 따라서 산재로 치료받은 후라도, 만약 후유장해가 남았다면 단체보험의 '상해후유장해' 특약으로 추가 청구가 가능한데요.
참고로** '상해후유장해'** 특약은, 비단 업무 중 상해뿐만 아니라 일상생활에서 다친 상해까지 포함될 수 있습니다. 그래서 직원이 주말에 등산을 하다가 척추나 관절이 골절된다면, 이 역시 특약으로 청구할 수 있습니다.
하지만 현실은 이러한 항목이 있는지도 모르는 분이 많다는 사실..😥

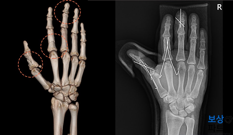
40대 후반의 피해자께서는 현장 업무 중, 기계 장비에 엄지, 검지, 중지가 눌리면서 외상을 입으셨습니다.


진단명 (분류번호) :
엄지손가락 근위지골 골절 (S62520) 제2 손가락 근위지골 골절 (S62620) 제2 수지 신전건 부분파열 (S6630) 제3 손가락 중지골 경부, 원위지골 골절 (S62630, S62640) 위 자료와 같이 재해자께서는 3개의 손가락에 골절상을 입으셨는데요.
안정적인 골유합을 위해 도수정복 및 경피적 핀고정술 시행했으며, 힘줄 파열에 대해 신전건 봉합술도 받게 되었습니다. 이 사고는 근무 중 발생한 재해였으므로 산재 신청이 무사히 승인되었고, 이후 요양급여(치료비) /휴업급여(통원 기간 동안 평균임금의 70%) 를 수령하실 수 있었습니다.
하지만 수개월간의 재활 운동을 받아도 후유증상이 남았는데요. 즉 움직임 제한, 통증 지속 증상이 있어서 **장해급여(후유장해 보상)**까지 청구해야 하는 상황이었습니다. 앞서 언급한 것처럼, 산재 장해급여와 회사 단체보험의 '상해후유장해' 특약은 중복으로 지급이 가능한데요.
문제는 두 가지 중에 무엇을 먼저 청구할 것인지, 그 시점이 매우 중요하다는 점입니다. 왜냐하면 만약 후유증상이 애매한 경우에 산재 등급 불승인이 나버린다면, 이후 보험사에서도 장애를 인정하지 않을 가능성이 큽니다.
그러므로 이런 경우에는 단체보험을 먼저 청구한 뒤에, 산재 급여를 신청하는 것이 더 유리합니다. 반면에 후유증상이 심하고 확실하다면 산재 장해등급을 먼저 받은 다음, 상해후유장해를 청구하는 것이 좋습니다.
국가가 운영하는 근로복지공단에서에서 심사한 자료가 있기 때문에, 보험사에서도 지급 거절할 사유를 찾기가 쉽지 않게 됩니다. 물론, 이러한 판단을 내리려면 복잡한 약관 해석과 의학 지식이 필요한데요.
그러므로 사전에 손해사정 전문가와 상의하여 결정하는 것이 도움이 될 수 있습니다.

재해자분의 경우, 단체보험의 상해후유장해 특약에 먼저 청구하기로 하였는데요. 공신력 있는 전문 의료기관에서 아래와 같은 후유장해 평가를 받을 수 있었습니다.

엄지, 검지, 중지 손가락의 운동 각도(ROM)를 측정한 AMA 평가를 진행한 결과, 지급률이 1수지는 10%, 2수지와 3수지는 각 5%씩 하여 총합 20%가 나오게 되었습니다. 이어서 보험사 심사 결과, 5년 한시장해를 인정받아서 후유장해 보험금 을 먼저 지급받을 수 있었습니다.
이후 고객께서는 산재 장해등급 신청도 진행하셨는데요. 역시 예상대로 운동 각도에 따른 장애는 인정받지 못하였고, 단순 통증장애(동통) 14급만 승인되었습니다. 만약 산재 등급을 먼저 신청하였다면, 후유장애 보험금은 부지급되었을 가능성이 높았던 상황이었습니다.
그렇다면 회사의 단체보험 보상 여부도 꼭 확인해 보시기 바랍니다. 실제로 고객들과 면담할 때 보면, "그런 것이 있는 줄도 몰랐다"라고 말씀하는 경우가 많습니다. 적게는 수백만 원에서 수천만 원까지도 놓칠 수 있는 금액이기에, 회사의 경리나 인사과, 총무과 등에 직접 문의하여 가입 여부를 확인해 봐야 합니다.
만약 서류 준비, 진단서 확보, 보상 대응까지 전문적인 도움이 필요하시다면 언제든지 연락 주세요. 수많은 청구 사례를 직접 수행한 「보상파트너」 손해사정사가 함께하겠습니다. 감사합니다 :)

