보상파트너 블로그

엄지손가락(1수지) 근위지골 골절, 후유장해 진단비 보상 사례

안녕하세요.

엄지손가락(1수지) 근위지골 골절, 후유장해 진단비 보상 사례
Table of Contents

image

안녕하세요! 손해사정 전문 **《보상파트너》 **입니다. 일상생활 중이나 운동하면서 종종 손가락을 다치는 일이 생기는데요. 특히 엄지손가락(1수지) 부상의 경우, 많은 동작이 제한되기 때문에 더욱 심각하게 보는 경향이 있습니다.

그러므로 혹시라도 골절상을 입으셨다면, 특약 항목 중에'상해후유장해'청구까지 꼭 알아보셔야 하는데요. 오늘은 엄지 근위지골 골절되어 후유장해 진단비 보상받으셨던 의뢰인의 사례를 자세히 소개해 드리겠습니다.


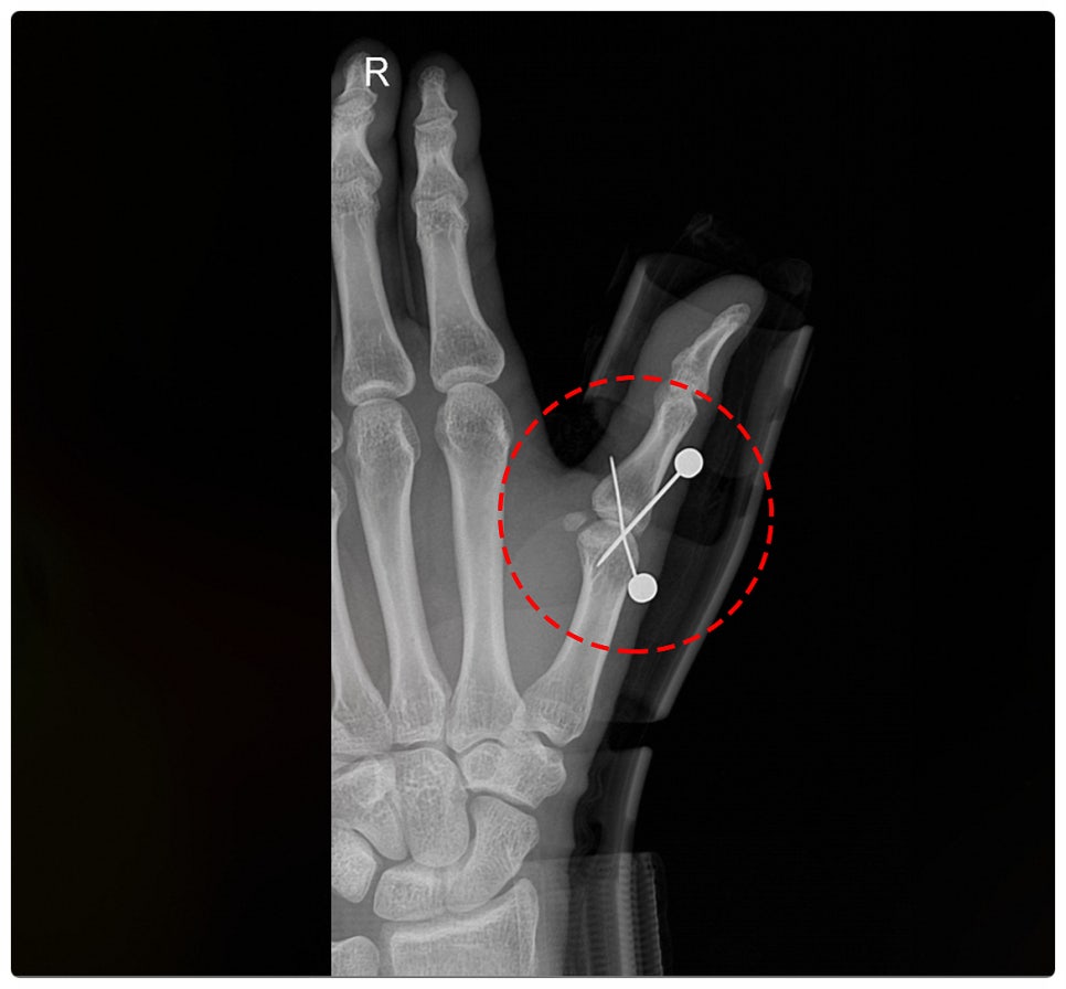
피해자 : 30대 남성 부상 경위 : 스포츠 활동 중 손가락이 꺾이며 엄지손가락 부상

진단명 :

우측 제1수지 근위지골 견열골절 [S62520] 중수지관절 측부인대 파열 [S634-1]

치료 내용 :

관혈적 정복술 및 내고정술, 인대봉합술

image

image

견열골절(avulsion fracture)이란 뼈의 일부가 힘줄이나 인대에 의해 강하게 잡아당겨져, 작은 조각으로 떨어져 나가는 골절을 말합니다. 피해자께서도 이러한 견열골절로서, 엄지가 꺾일 때 인대가 뼛조각을 당기면서 같이 떨어져 나간 상태였습니다.

견열 골절의 특징은 관절 근처에서 자주 발생하며, 보통 인대 손상과 동반되는 경우가 많습니다. 그리고 엑스레이 상으로 작은 뼛조각이 떨어져 나간 모습이 확인되며, 향후 운동기능 제한이 생길 가능성이 있습니다.


관절 부분이 골절되었다면 회복 후에도 후유증상이 남을 수 있는데요. 그러므로 실비와 골절 진단비뿐만 아니라 '상해후유장해'까지 청구하는 것이 필요합니다. 특히 엄지는 물건을 집을 때, 글씨를 쓸 때, 정밀 동작을 할 때 필수적으로 사용되는 손가락이기 때문에, 다른 손가락보다 더 높은 장애율이 산정됩니다.

image


보험사로부터 후유장해를 인정받기 위해서는 전문의로부터"후유장애 진단서"를 정식으로 발급받아서 제출해야 합니다. 보통은 자신의 상황을 잘 알고 있는 주치의에게 이 서류를 요청하게 되는데요.

만약 주치의가 약관 내용과 피해자의 상태를 면밀히 숙지하고 있어서 제대로 된 진단서를 발행해 준다면, 상당히 좋은 상황이라고 할 수 있습니다.


하지만 안타깝게도 많은 경우, 이러한 이상적인 상황이 나오지가 않는다는 것이 문제인데요. 사실 치료가 주 목적인 주치의 입장으로서는 장애가 남았다는 증명서를 발급해 주는 것이 쉬운 일이 아닙니다.

왜냐하면 그로 인해 혹시라도 수술이 불완전했다고 느낄 수도 있고, 아니면 보상금 및 장애율 분쟁에 연루될 수 있기 때문입니다. 그러므로 후유장해 청구 시에는 사전에 전문 손해사정사의 검토를 받아보는 것이 좋습니다.

image


오늘 사례의 의뢰인께서는 주치의에게 후유증상에 대해서 물어봤지만, "별다른 후유증은 남지 않을 것"이라는 답변을 듣게 되었습니다. 그래서 전문가 선임의 필요성을 느끼시고, 저희 **《보상파트너》**로 연락을 주셨는데요.

의무기록, 영상CD를 면밀하게 검토한 뒤 예상 청구 과정을 설명해 드렸고, 결국 저희에게 사건을 맡겨주셨습니다. ( 개인, 단체 보험에서 "상해 80%미만 후유장해" 청구 진행 )


먼저 부상 발생 6개월이 지난 후, 제3의 전문 기관에서 객관적 소견의 "후유장해 진단서"를 발급받을 수 있었습니다.

image

빈틈없이 서류를 준비하여 제출했음에도 불구하고, 보상 담당자는 인정하려 하지 않고 한시적인 장애일 뿐이라며 의견을 보내왔습니다. 이후 각종 판례와 의학 소견서 등의 입증자료를 추가적으로 제시하며, 결국 상당 부분 장애를 인정받을 수 있었는데요.

최종적으로 상해후유장해 보험금 약 2,300만 원이 지급되었습니다. 만약 전문가의 도움이 없었다면 후유장애 진단비를 전혀 수령하지 못했거나, 일부 소액만 받았을 가능성이 높았던 사건이었습니다.

image


그렇다면 지금 전문가 무료검토 받아보시기 바랍니다! **《보상파트너》**는 경험 많은 전문 손해사정사와 함께 고객의 정당한 보상을 위해 최선을 다합니다. 특히나 분쟁 요소가 많은 후유장해 진단비 청구 과정에 있어서, 막막하거나 어려움을 겪으신다면 언제든지 연락 주세요.

지급 가능성, 청구 절차, 예상 보상금 등을 친절하게 알려드리도록 하겠습니다. 감사합니다 😊

image