
안녕하세요. 손해사정 전문 「보상파트너」 입니다 후방 추돌 교통사고 당하는 경우, 목이 뒤로 꺾이면서 경추가 탈골되거나 경추간판 외상성 파열이 많이 발생합니다. 이런 상황에서는 수술이나 시술이 필요할 수도 있고 후유증이 남을 수 있기 때문에, 제대로 대인 합의금 산정하여 받아내는 요령이 필요합니다.

외부의 급격한 물리적 충격이 가해지면서 경추 추간판(목디스크)이 파열되어 내부의 수핵이 목 주변의 신경을 누르는 증상입니다. 이는 급격한 힘이 가해지며 파열되는 것이기 때문에 S코드(상해코드) 로 진단됩니다.
반면에 일반 추간판 탈출증은 **M코드(질병코드)**로서 급성 외상에 의한 것이 아니라 오랜 시간에 걸쳐 서서히 진행된 증상입니다. 그래서 둘 중에 어떤 진단을 받느냐에 따라서 대인합의금 보상에 큰 영향을 미치는데요. 만약 M코드 진단만 있다면 기존에 있던 퇴행성 증상으로 보기에, 보상에 매우 불리하게 됩니다.
추간판 탈출증 치료 방법 :
신경 차단술
통증이 심하다면 주사바늘을 통해 특수 약물을 주입하여 증상을 완화하는 시술을 시행할 수 있습니다.
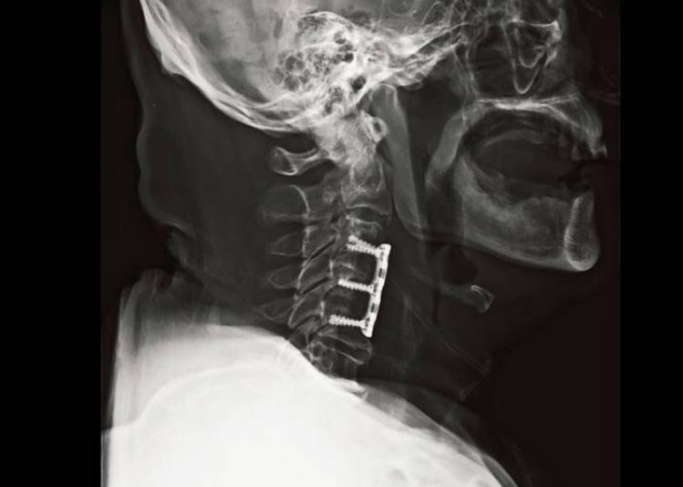
경추 유합술(고정술)
만약 돌출된 추간판이 척수 신경에 압박을 가한다면 전신에 통증, 저림, 마비 증상을 유발할 가능성이 있습니다. 이런 경우는 경추를 금속으로 고정시켜 신경 침범을 예방하고, 경추의 안정성을 높이는 유합술을 시행합니다.(아래 사진 참조)

일반적으로 대인합의금에 영향을 많이 주는 요소는 **과실 비율/ 증빙 소득/ 상실수익액 **이라고 볼 수 있는데요. 특히 보상금 산정에 있어서 가장 높은 금액을 차지며, 동시에 분쟁도 많이 발생하는 **'상실수익액'**을 얼마나 인정받느냐가 합의금의 핵심 요소라고 할 수 있습니다.
※ 상실수익액이란?
치료 후에도 신체에 후유증이 남아서 노동능력이 상실되었다면, 미래에 상실하게 될 수익을 현재 가치로 환산하여 보상하는 금액 그런데 보통 보험사에서 피해자에게 합의금을 제시할 때, 상실수익액을 아예 포함시키지 않거나 최소로 산정하는 경우가 대부분입니다.
특히 추간판 탈출증 진단은 기왕력(기존의 병증)을 주장하며 후유증상의 인정을 해주지 않는데요. 이에 대한 전문 지식이 없는 개인으로서는 금액이 터무니없이 적다고 느껴지지만 제대로 대응하기 힘든 것이 현실입니다.
그러므로 이런 경우, 반드시 전문 손해사정사 상담 후 청구를 진행하시는 것이 필수입니다.

50대인 이△△ 님께서는 신호 대기 정차 중에 뒤에서 가해차량이 충돌하는 사고를 당하셨습니다.

질병명 :
경추 추간판 탈출증 (M502)
목척추간판[경추간판]의 외상성 파열 (S130)
치료 방법 :
신경차단술
전방 경유 척추 유합술(경추 5-6, 6-7)
피해자분은 경추 추간판 외상성 파열로 S코드(상해) 진단받았으나 보험사에서 제시한 보상금액이 너무 적어서 어려움을 겪으셨습니다. 그래서 저희 사무실에 문의하신 후, 서류 검토와 상담 끝에 사건 처리를 위임해 주셨는데요. 청구 항목은 가해자 측의 자동차보험과 의뢰인의 개인보험 상해후유장해 보험금이었습니다.
먼저 제3병원에서 객관적인 검사로 노동능력 상실률을 평가받게 되었습니다.

그밖에 모든 손해액을 빠짐없이 산출하여 의학 관련 자료와 법원 판례 등 입증 자료를 함께 제출하였습니다. 두 달 이상의 보험사와의 분쟁 과정이 있었지만, 결국 영구 장해를 인정받아 처음 제시한 합의금의 몇 배에 달하는 금액을 수령하실 수 있었습니다.
그렇다면 「보상파트너」 전문가 상담 통해서 정당한 보상받으시기 바랍니다! 십수 년 경력의 신체 전문 손해사정사와 대형 보험사 조사관 출신의 직원이 최선을 다해 도와드리겠습니다.
모든 상담은 무료이며, 자세한 설명을 위해 기본 서류 검토가 필요할 수 있습니다. 도움이 필요하시다면 언제든지 아래 방법으로 연락 주시기 바랍니다. 감사합니다.

