보상파트너 블로그

발가락 골절 수술 - 산재처리 후 개인보험 보상 사례

안녕하세요.

발가락 골절 수술 - 산재처리 후 개인보험 보상 사례
Table of Contents

image

안녕하세요! 손해사정 전문 보상파트너입니다. 발가락 골절 사고는 주로 공사현장 업무 중, 또는 교통사고로 많이 발생하게 됩니다. 최근에 야외활동이 늘어나면서 이러한 상해사고도 늘어나고 있는 추세인데요.

상황에 따라서 보상금이 크게 늘어날 수도 있기에 오늘 내용 자세히 알아보시면 도움이 될 것입니다. K 님께서는 공사현장에서 떨어지는 자재에 발가락을 다치는 사고를 당하셨습니다.

image

image

진단명 :

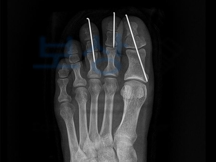
좌 무지 원위지골 개방성 복합골절 [s9241] 좌 제2족지 근위지골 골절 [s925] 좌 제3족지 근위지골 및 원위지골 골절 발가락의 으깸손상 [s971] 좌 제1,3족지 피부괴사 환자분께서는 이 사고로 1,2,3번째 발가락이 골절되는 부상을 입으셨는데요.

곧바로 수술적 치료로서 관혈적 정복술 및 내고정술 시행하였고 변연 절제술 및 경피적 핀고정술 역시 진행되었습니다. K 님은 업무 중 사고를 당하셨으므로 과실 여부에 상관없이 공단에 신청하여 산재처리 받으실 수 있었습니다.

요양급여 (치료비)

휴업급여 (평균임금의 70%)

장해급여 (장해에 대한 위자료)

모두 합하여 약 7천만 원에 달하는 금액을 보상받으셨습니다.

image

산재처리로 보상받으신 이후에는 추가적인 개인보험 보상도 꼭 알아보셔야 하는데요.

① 비급여 치료비

산재 요양급여(치료비) 지급 시 비급여 치료비는 보상되지 않습니다. 그러므로 재해자가 부담했던

비급여 치료비는 개인 실비보험을 통해서

추가로 청구하실 수 있습니다.

② 골절 진단비 및 수술비

개인보험에는 여러 가지 상해 관련 특약이 가입되어 있는데요. 다음과 같은 보험 특약은 모두 추가적으로 보상이 가능합니다.

골절 진단비

상해 의료비

상해 수술비

상해 입원일당

③ 상해후유장해

신체에 장해가 남았을 경우에 산재보험에서는 장해급여를 통해서 위자료 형식으로 일시금을 지급합니다. 개인보험에도 아래와 같은 후유장해 보상 특약이 있으며, 모두 중복 보상이 가능합니다.

일반상해후유장해(3~80%)

재해장해급여금

재해급부금

장해보장

image

실손의료비, 골절진단비 등 보험금 청구는 기본 서류 제출로 어렵지 않게 진행되었습니다. 하지만 **후유장해 보험 **청구는 상당히 복잡하기에 고객께서는 저희에게 보상처리를 맡겨주셨습니다.

① 후유장해 진단서 발급

공정한 평가를 받을 수 있는 제3병원에서 AMA 방식으로 진단서를 발급받았습니다.

운동범위(ROM) 평가 결과 :

관절 강직으로 인한 발가락의 뚜렷한 장해, 보험약관상 장해 지급률 14%, 영구장해 및 사고 기여도 100%

② 보험사 소견 대응

보험회사에서는 손가락과 발가락 골절 수술의 경우 영구장해는 거의 인정하지 않는데요. 한시장해 소견을 보내면서 청구 보험금의 20%만 지급하겠다고 주장하였습니다. 그러나 저희 사무실만의 노하우로 주치의 추가 소견 제출 등 적절히 대처할 수 있었습니다.

③ 후유장해 보험 청구 결과

장해 지급률 14% 인정됨.

가입금액 1억 원 인 경우 1,400만 원 수령 가능.


※ 비슷한 사례 참조

**엄지발가락 골절 후유장해 보상 사례 ** ☜ 클릭 **발가락 핀 고정 수술 보험 청구 ** ☜ 클릭


발가락 골절로

수술받으셨다면..

지금 전문가 무료상담 받아보시기 바랍니다! 개인보험 후유장해 보상뿐 아니라 배상책임보험, 자동차보험까지 최선의 보상금 받으실 수 있도록 도와드리겠습니다. 십수 년 경력의 실력 있는 손해사정사와 함께하셔서 정당한 보험금 받으시기 바랍니다.

기타 문의사항은 아래 번호로 언제든지 연락 주시면 친절하게 상담 드리겠습니다. 감사합니다!

☎ 무료 상담 신청 (전국 가능) ☎

image