
안녕하세요! 손해사정 전문 **《보상파트너》 **입니다. 가족을 위해 현장에서 열심히 일하시는 근로자분들 정말 수고가 많으신데요. 그런데 만약 뜻밖의 사고로 부상을 입기라도 하신다면 당장의 치료와 더불어서 경제적인 문제도 함께 발생하게 됩니다.
그러므로 업무 중 사고 발생 시, 먼저 산재보험으로 기본적인 보상을 받은 뒤에는 근재보험으로 추가적인 보상을 받는 것이 꼭 필요한데요. 오늘은 손목 골절되셨던 의뢰인이 어떻게 근재보험을 통해 후유장해 보상금까지 받을 수 있었는지 실제 보상 사례 함께 살펴보시겠습니다!
K 님께서 현장 근무 중에 바닥에 자재를 밟고 미끄러져 넘어지는 사고가 발생하였는데요. 넘어질 때 손으로 바닥을 짚으며 손목 골절되는 부상을 당하셨습니다.


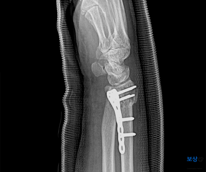
질병명 : 우측 요골 원위부 관절내 분쇄골절 및 척골 경상돌기 골절 (s5260) 우측 늑골의 염좌 (s2340) 진단 결과, 손목 부위의 뼈인 요골과 척골의 골절을 확인할 수 있었는데요. 관절을 이루고 있는 부근이 골절되었기 때문에 회복도 느리고 치료후에도 후유증이 남을 것을 예상되었습니다.
또한 골편이 여러 조각으로 나뉘는 분쇄골절의 양상을 띄었는데요. 이 역시 심한 골절상임을 알려주는 부분입니다. 즉시 수술적 치료가 필요하였으며, 관혈적 정복술 및 금속 내고정술 후에 깁스하여 안정을 취하게 되셨습니다.

K 님은 근무 중 사고를 당하셨기 때문에, 과실 여부에 관계 없이 산재보험을 통해서 모두 보상받으실 수 있었는데요. 아래와 같은 항목에 대해 보험급여를 지급받으셨습니다.
▶ 요양급여 : 약 760만 원
병원 치료비 일체를 보상해줍니다. 다만 비급여 치료비는 보상이 되지 않으므로 개인이 부담하거나, 실비보험 또는 근재보험에서 청구할 수 있습니다.
▶ 휴업급여 : 약 2,000만 원
입원, 통원 치료기간 동안에 평균임금의 70%를 보상해줍니다. 재해자분께서는 총 7개월 정도 치료를 받으셨는데요. 이는 체내 금속 제거술까지 포함한 기간입니다.
▶ 장해급여 : 약 2,100만 원
산재 치료가 끝난 후에 고정된 후유증상이 남을 경우에 청구할 수 있습니다. 주치의로부터 '장해진단서'를 발급받아서 공단에 접수합니다. 공단 심사 후 장해등급이 결정되면 그에 해당하는 장해급여를 받을 수 있습니다.(1급~14급) 환자분의 경우 손목의 기능장해로 장해등급 12급 인정받았습니다.

**'근로자재해보장책임보험', '사용자배상책임보험'**이라고도 하는데요. 근로자에게 사고 발생 시, 사업주에게 관리상의 책임이나 과실이 있다면 법적으로 배상책임이 발생하게 됩니다.
이러한 배상책임을 담보로 근재보험을 가입해 놓았다면, 근로자는 이 보험을 통해서 손해배상을 청구할 수 있습니다. 다만 이미 보상받았던 산재급여 공제, 그리고 근로자 과실 비율만큼 공제하여 손해액을 청구하게 됩니다.
만약 사업주에게 근재보험이 없다면 민사 소송을 통해서 손해배상을 청구해야 하는데요. 청구금액이 크지 않다면 고생에 비해 실익이 떨어지기에 포기하는 경우가 많습니다. 본인 회사 또는 원청 회사 담당자에게 확인하여 근재보험 가입여부를 알아볼 수 있는데요. 가입되어 있다면 청구를 위해 다음과 같은 근재보험증권도 요청해야 합니다.
(건설 현장이나 중견 규모 이상의 회사에서는 대부분 근재보험이 가입되어 있습니다.)

다음과 같은 손해액을 산정하여 근재보험회사에 청구할 수 있습니다.
▶ 치료비, 향후치료비
산재보험에서 보상받지 못했던 비급여 치료비를 근재보험에서 청구할 수 있습니다. 또한 흉터치료비, 향후 보철 치료비 등도 받을 수 있습니다.
▶ 휴업손해
보통은 산재보험에서 받았던 휴업급여 금액이 더 크기 때문에 휴업손해는 따로 지급되지 않습니다.
▶ 위자료
부상의 정도, 후유장해의 정도에 따라서 일정 금액을 청구할 수 있습니다.
▶ 상실수익액
후유장해가 남는다면, 전문의 장해 진단을 통해 노동능력상실률(%)을 평가합니다. 그런 다음 남은 노동가능 기간 동안의 노동능력 상실로 인한 손해액을 산정합니다. '상실수익액'은 고액으로 산정될 가능성이 높으며, 그렇기에 보험사와 분쟁이 가장 많이 발생하는 부분이기도 합니다.
이처럼 간단히 설명드리긴 했지만, 청구 절차가 상당히 복잡하다는 것을 느끼셨을 겁니다. 보험약관에 대한 세부지식이 필요할 뿐만 아니라 의료 부문의 전문적인 지식도 필요한데요. 그러므로 근재보험 청구는 반드시 전문가인 손해사정업체와 상담하신 후에 진행하시는 것이 필요합니다.

K 님은 먼저 공신력 있는 제3병원에서 노동능력 상실률 평가를 받으실 수 있었는데요.

맥브라이드 평가를 통해 노동능력 상실률 14%, 영구장해로 진단서를 발급받으셨습니다. 이후 보험사 청구 과정에서 장해율 및 과실 비율 분쟁을 잘 해결하게 되었고, 최종 결과 근재 보험금 약 3,000만 원을 수령하실 수 있었습니다.
K 님은 손목에 불편함이 남으셨지만 산재보험과 근재보험을 통해서 빠짐없이 보상금을 수령하셨는데요. 이를 통해 생활로 복귀하시는 데 조금이나마 도움을 받으실 수 있었던 성공적인 사례였습니다.

손목 골절(s5260) 후유장해 생기셨다면.. 지금 바로 전문가 무료 상담으로 근재보험 및 개인보험 청구 알아보시기 바랍니다! **《보상파트너》**는 십수 년 경력의 능력 있는 손해사정사와 대형 보험사 조사관 출신이 함께하고 있습니다.
보험사의 논리와 주장에 대해서 누구보다도 효율적으로 대처하여 최선의 결과로 보답하겠습니다. 후유장해 보험금 청구 및 기타 문의사항 있으시다면 아래 방법으로 편하게 연락주시기 바랍니다. 감사합니다!

