
안녕하세요! 손해사정 전문 **《보상파트너》 **입니다. 만약 업무 중 사고를 당하신다면 산재처리로 보상받으실 수 있는데요. 우리나라는 산재보험 제도가 잘 되어 있어서, 최소 수준 이상으로 보상을 받으실 수가 있습니다.
그런데 사업장에 근재보험이 가입되어 있다면, 추가적으로 보상을 받을 수가 있는데요. 많은 분들이 여러 이유로 그냥 넘어가시는 경우가 빈번합니다. 그래서 오늘은 산재처리 후 근재보험 추가 보상받는 방법에 대해서 함께 알아보도록 하겠습니다! (+고객 실제 보상사례 포함) 근로자가 업무 중 사고가 발생하면 과실 비율에 상관없이 산재보험으로 보상받으실 수 있는데요. 일반적으로 다음과 같은 항목에 대해서 보상금이 지급됩니다.
요양급여 (치료비 중 급여 항목만 보상) **휴업급여 **(평균임금의 70% 지급) 장해급여 (장해등급에 따라 보상) 위와 같이 산재처리를 통해 일정 수준의 금액이 지급되기는 하지만, 확실히 부족한 부분들이 있을 수밖에 없는데요.
예를 들면 치료비 중 비급여 항목은 보상되지 않기 때문에, 만약 비급여 치료비가 많이 나온 경우에는 재해자 본인이 부담을 해야 합니다. 또한 치료 종결 후에도 후유장해가 남았다면 장해급여를 신청할 수 있는데요. 만약 비교적 젊은 나이의 근로자가 다쳤다면, 노동력 상실로 인한 향후의 상실 수익이 클 것이므로 보상금이 충분하지 않을 수 있습니다.
이러한 부족한 부분들을 사업주가 가입한 근재보험을 통해서 추가로 보상을 청구할 수가 있습니다.

▶근재보험이란?
근로자재해보장책임보험 또는 사용자배상책임보험 이라고도 합니다. 사업장에서 사고가 발생한 경우, 사업주의 과실에 의한 책임을 배상해주는 보험입니다. 그러므로 만약 근로자의 과실이 100%라고 한다면 근재보험을 통해서 보상되는 금액은 없는데요. 반면에 근로자 과실이 50% 라면 산정된 손해액의 50%가 지급이 됩니다.
본인 회사 또는 원청 업체에 근재 보험이 이미 가입되어 있어야 청구가 가능한데요. 중견기업 이상의 규모라면 대부분 가입되어 있습니다. 그러므로 하청 담당자 또는 원청 본사에 직접 문의하여 가입 여부를 확인해야 합니다. 만약 근재보험이 가입되어 있다면 보험 증권을 요청해야 합니다.
근재 보상금은 산재보험으로부터 보상받은 금액을 공제하여 지급하기 때문에, 산재처리가 끝난 후에 근재보험 청구를 진행하게 됩니다.
▶ 근재보험 보상 범위
비급여 치료비 산재보상에서 받지 못한 비급여 항목에 대한 치료비가 지급됩니다. 향후치료비 흉터제거비용, 금속핀 제거, 임플란트 비용 등 휴업손해 산재 휴업급여에서 이미 큰 금액을 보상받았기에, 보통은 추가적인 휴업손해는 지급되지 않습니다.
위자료 산재보상에는 없는 항목으로서, 상해 급수에 따라 법률상 위자료를 지급합니다. 상실수익액 (월평균 수입 x 노동능력 상실률(%) x 남은 가동 연한 x 호프만 계수)를 계산하여 산정합니다.
장해 관련 보상이므로 산재의 장해급여 금액만큼 공제한 후 지급합니다.

일반적으로 근재보험 청구는 전문가인 손해사정사를 선임하여 진행하게 됩니다. 그 이유는 보험사와 관련된 분쟁 요소가 많기 때문인데요. 먼저 과실 비율과 관련하여 서로 다른 의견이 있을 수 있는데요. 과실 책임에 따라서 최종 보상금이 큰 차이가 나기 때문에 보험사에서는 최대한 재해자의 과실 비율을 높이려고 합니다.
또한 상실수익액 산정 과정 역시 상당히 복잡한데요. 전문의로부터 배상책임보험 약관에 맞는 후유장해 진단서를 발급받는 절차부터 보험사와의 장해율 분쟁까지, 까다로운 과정이 기다리고 있습니다.
이러한 일련의 상황에서 보험약관 세부 지식과 의학적인 전문지식이 없다면 보험사의 논리에 대응할 수가 없는데요. 그렇게 되면 근재로 인한 추가 보상금은 아주 적거나 아예 부지급될 수밖에 없습니다.
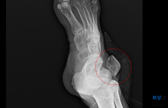
그러므로 반드시 전문가와 상담하신 후에 근재보험을 신청하시는 것이 좋습니다. A 님께서는 건설 현장에서 근무하시던 중, 발판을 잘못 밟고 아래층으로 추락하는 사고를 당하셨는데요. 이로 인해 발목을 크게 다치셨습니다.


병 명 : 우측 족관절 거골 개방성 골절 (S9211) 우측 족관절 전거비인대, 종비인대, 삼각인대 파열 (S932) 우측 족관절 거골 탈구 (S9338) 진단명은 거골의 개방성 골절이었는데요. 거골은 발목 바로 아래 위치한 뼈이며 하중을 직접적으로 지지하는 역할을 합니다.
그리고 개방성 골절이란 뼈가 살 밖으로 드러난 형태를 말하는데요. 사고 당시 환부의 상태가 매우 좋지 않았음을 알 수 있습니다. 수술 전문 병원에서 급하게 골 정복술 및 금속 나사 고정술을 시행하여 골절된 뼈를 단단히 고정하였는데요.
업무상 재해를 입으셨기에 먼저 산재보험으로 보상받으실 수 있었습니다. 수술 후에도 6개월이 넘게 통원, 재활 치료를 받으셨고 최종적으로 받은 산재 보상금은 다음과 같았습니다. 요양급여: 약 3,000만 원 휴업급여: 약 2,000만 원 장해급여: 약 5,100만 원
이후 재해자께서는 저희와 상담 끝에 근재보험 청구 사건을 위임해 주셨는데요. 사실 보험금 청구가 쉬운 상황은 아니었습니다. 이미 연세가 가동 연한(65세)을 넘기셔서 상실수익액이 산정되지 않았고, 과실 비율 쟁점이 남아있었기 때문입니다. 게다가 이미 고액의 장해급여를 받으신 상태였는데요.
저희는 후유장해 진단서 발급부터 보상 절차를 상세히 안내해 드렸고, 최선의 보상을 받으실 수 있도록 면밀히 준비하였습니다.

최종 결과로 근재보험금 약 1,400만 원 추가로 지급되었습니다. 어려운 상황에서도 최선의 결과로 보상받도록 도와드릴 수 있었던 사례였습니다 :) 그렇다면 지금 전문가 무료 상담 받아보시기 바랍니다!
《보상파트너》는 십수 년 경력의 능력 있는 손해사정사와 대형 보험사 조사관 출신이 함께하고 있습니다. 합리적인 수임료와 최선의 보상으로 보답하고 있으며, 고객의 합당한 권리를 찾으실 수 있도록 도와드리겠습니다.
손해사정사 선임 및 기타 합의금 관련 문의 있으시다면 언제든지 편하게 연락 주시기 바랍니다. 감사합니다 :) 무료 상담 신청

