
안녕하세요! 손해사정 전문 **《보상파트너》 **입니다. 어느덧 벚꽃이 피는 계절이 돌아왔습니다. 오늘도 길거리에 꽃봉오리가 많이 올라와 있네요.^^ 날씨가 풀리면서 자전거로 여가를 즐기는 분들도 많아지셨는데요. 자전거 전용 도로에 사람들이 몰리는 만큼, 안전사고 유의하셔야 하겠습니다.
오늘 사연의 주인공은 자전거 타다가 넘어져서 손목 골절되신 분인데요. 내 보험에서 어떻게 최대로 보험금 보상받을 수 있는지 함께 알아보시죠! 환자분께서는 야외에서 자전거를 타던 중, 혼자서 넘어지는 낙상사고를 당하셨는데요. 넘어지던 중 손목을 땅에 짚으면서 부상을 입으셨습니다.


진단명 :
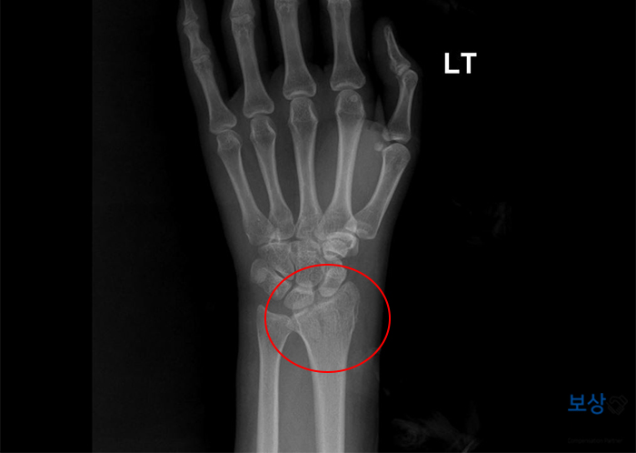
[주] 좌측 요골 하단의 상세불명 골절 (S52.59) [부] 좌측 손목 및 수근골 인대의 외상성 파열 의증 (S63.3) 이 사고로 환자분은 손목 부분의 뼈(요골, 수근골) 골절되셨는데요. 위 사진에는 잘 보이지 않지만 두꺼운 요골 뼈 안쪽으로 골절 면이 생기게 되었습니다.
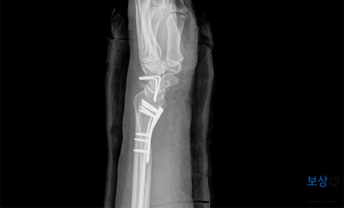
확실한 골 유합을 위해서 상처 부위를 절개하여 금속판과 나사, 그리고 금속 핀을 사용하여 골절된 뼈들을 단단하게 고정시켰습니다. (금속판 내고정술, 골이식술, 경피적 핀고정술)

수술은 잘 끝나게 되었고, 이후에 석고 붕대 (깁스) 고정술을 시행하여 2달간 안정을 취하게 되셨는데요. 하지만 깁스를 제거하고 일상생활로 돌아왔지만, 시간이 꽤 지나도 손목의 후유증은 없어지지 않았습니다.
여러 개의 보험에 가입되어 있으셨던 환자분은 제대로 보상받기 위해 정보를 알아보게 되셨습니다. 특히 후유장해 보험금 지급이 까다롭다는 내용을 알게 되셨는데요. 저희는 보험증권, 의료기록 분석을 도와드리면서, 최선의 보상을 받을 수 있는 방법과 절차에 대해서 설명드릴 수 있었습니다.
이번 사고로 환자분께서 청구하실 수 있는 보험 항목은 아래와 같습니다.
실손 의료비
골절 진단비
상해 수술비
상해 입원비
기타 상해 관련 보험금
상해후유장해(3%~80%)
그런데 보험 상품마다 이름이 조금씩 달라서 혼동을 느끼는 고객분들이 많은데요. 같은 보장이지만 아래와 같은 또 다른 이름으로도 표기될 수 있습니다.

입원급부금 (=상해 입원비)
수술급부금 (=상해 수술비)
골절치료기금 (=골절 진단비)
재활보험금 (=상해후유장해)
위의 이름 말고도 또 다른 여러 가지 이름으로 표기될 수 있으니, 필요하시다면 보험증권 분석 요청해 주시면 되겠습니다.

다른 보험금은 비교적 쉽게 지급받을 수 있는데요. 진단서, 영수증 등의 병원 서류 제출로 청구가 가능하며 분쟁이나 논란의 여지가 거의 없습니다. 하지만 후유장해 보험금 (=재활급부금, 재해장해급여금)의 경우는 대부분 독립 손해사정사를 선임하여 청구하시는데요. 그 이유는 다음과 같습니다.
① 장해율 분쟁
후유장해 보험금은 장해의 정도에 따라 지급하는데, 장해율을 산정하는데 분쟁이 많이 발생하게 됩니다. 왜냐하면 측정하는 의사마다 평가가 달라질 수 있고, 같은 의료기록을 어떻게 해석하느냐에 따라서 장해율이 달라질 수 있기 때문이죠.
보통 후유장해 보험금은 액수가 크기 때문에, 보험회사에서는 다양한 방법으로 보험금 감액을 시도합니다. 보험사에 유리한 의료 검토를 통해서 장해율을 낮추기도 하고, 현장 조사와 환자 의무 기록 조사를 통해서 기왕력 기여도를 주장하기도 합니다.
그렇게 되면 고객이 처음 청구했던 보험금이** 대폭 삭감되거나, 아니면 아예 부지급**되는 경우도 많은데요. 개인적으로 이에 대응하기에는 쉽지가 않습니다. 의료적인 전문지식과 보험약관에 대한 깊은 이해가 필요한 과정이기 때문입니다.

② 장해 진단서 발급 문제
후유장해 보험금 청구를 하려면 먼저 전문의로부터 **"후유장해 진단서"**를 발급받아야 합니다. 그런데 병원 입장에서는 자신이 치료해 준 환자에게 영구 장해가 남는다는 증명서를 발급해 주는 것이 쉬운 일이 아닌데요.
그래서 많은 경우 발급을 꺼려 하거나, 설령 발급해 준다고 해도 장해 상태를 축소시켜서 발급해 주기도 합니다. 이처럼 후유장해 진단서 발급에 어려움을 겪고, 보험금 청구 시작조차 못한 상태로 문의주시는 고객분들이 많습니다.
"후유장해 진단서" 발급은 보험금 청구의 중요한 첫 시작이자 첫 단추이므로, 제대로 객관적인 평가를 받는 것이 중요합니다. 그러므로 반드시 전문가와 상담하신 후 장해 평가 및 진단서 발급을 진행하시는 것이 좋습니다!

사실 이미 환자분이 치료를 받으신지 2년이 지난 뒤였는데요. 아직 충분히 보상이 가능한 시간이었습니다. 의뢰인께서는 먼저 공신력 있는 제3병원에서 객관적인 장해 평가를 받으실 수 있었습니다.

진단 결과 장해 지급률 10% 나오게 되었는데요. 위 서류와 함께 손해사정서, 의무기록 등을 첨부하여 보험사에 접수하게 되었습니다. 그런데 보험사에서는 영구 장해를 쉽게 인정해 주지 않습니다. 자체 의료 자문 등을 통해 한시 장해를 주장하게 되는데요.
만약 한시 장해로 결정이 난다면, 청구 보험금의 20% 밖에 받지 못합니다. 그래서 저희는 추가적인 주치의 소견서와 각종 검사지를 추가로 제출하여 대응하였는데요. 마침내 약 한 달 후, 최종 결과로 고객께서는 후유장해 보험금 1,000만 원 지급받으실 수 있었습니다.
그렇다면 지금 전문가 무료상담 받아보시기 바랍니다! 보험증권 분석부터 의무 기록, 영상 CD 분석을 통해 청구 가능성 있는지 친절히 알려드리도록 하겠습니다. **《보상파트너》는 십수 년 경력의 능력 있는 손해사정사와 대형 보험사 조사관 출신이 함께하고 있습니다. ** 항상 최선의 결과로 보답 드리고 있으니, 궁금하신 점 있으시다면 아래 방법으로 언제든지 연락 주시기 바랍니다. 감사합니다!
무료 상담 신청

