보상파트너 블로그

손목 골절 - 실비 외에도 후유장해 보험금 청구 방법

안녕하세요, 손해사정 전문 《보상파트너》 입니다.

손목 골절 - 실비 외에도 후유장해 보험금 청구 방법
Table of Contents

안녕하세요, 손해사정 전문 《보상파트너》 입니다! 오늘도 아침에 기온이 영하로 떨어지면서, 출근길이 빙판길이 되었는데요. 순식간에 미끄러져 넘어짐 사고로 손목 골절되시는 분들이 많습니다.

그런데 손목과 같은 관절의 골절은 재활 후에도 후유증이 남기가 쉬운데요. 이런 경우 **상해후유장해 보험금 **신청하실 수 있다는 사실 알고 계셨나요? 조금은 생소할 수도 있는 후유장해 보험금 받는 방법, 지금부터 알려드리겠습니다!

image

오늘 사연의 주인공은 나이가 꽤 많으신 편이었는데요. 자택에서 생활 중에 뒤로 넘어지면서 손목을 다치셨습니다.

image

image

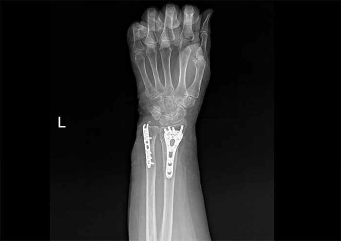
진단명:

Fx. distal radius and ulna wrist Lt.

좌측 요척골 원위부 골절

진단명은 좌측 요척골 원위부(손목 부위) 골절이었는데요. 영상 사진을 보시면 손목 뼈 부위에 금이 가 있는 것을 확인하실 수 있습니다. 손목 뼈는 수시로 움직이는 중요한 관절에 연결되어 있습니다. 그래서 조금만 잘못 붙더라도 지속적인 통증이나 관절염 증상이 나타날 수 있습니다.

그러므로 세밀하고 안정적인 골유합이 필수적인데요. 관혈적 정복술을 시행하여 금속판과 못을 삽입하여 골절된 뼈를 단단하게 고정하는 수술을 시행하였습니다.

image

이처럼 금속판 내고정술을 시행하시고 시간이 지나며 서서히 회복하셨는데요. 하지만 재활치료 후에도 손목 움직임이 예전 같지 않으셨습니다. 그래서 환자분께서는 후유증과 관련된 보상 정보를 찾다가 저희에게 연락을 주시게 되었습니다.

손목 골절로 상해보험에서 받을 수 있는 보험금은 보통 다음과 같습니다.

실손 의료비

골절진단비

골절수술비

입원일당

기타 골절 관련 특약

상해후유장해(3~80%)

후유장해 보험금에 대해서는 조금 생소하실 수 있는데요. 간단히 설명드리자면, 사고로 신체에 후유증이 남았을 때 그 장해 정도에 따라서 보상해 주는 보험입니다. 예를 들면 아래와 같이 청구할 수 있죠.

상해후유장해 가입금액 1억 원 보험약관상 지급률 10% 판정 청구 금액 : 1억 원 x 10% = 1,000만 원 위 보험금 중 실비나 진단비, 수술비는 병원 서류만 제출하면 비교적 쉽게 지급이 가능한데요.

반면에** 후유장해 보험금**은 지급받기까지 과정이 상당히 까다롭습니다. 그 이유는 다음과 같습니다.

1. 보험사의 감액 시도

일반적으로 후유장해 보험금은 수백만 원에서 수천만 원까지 고액인 경우가 많습니다. 보험사에서는 손해율을 줄이기 위해 이러한 지출을 막아야 하는 입장이죠. 그래서 고액의 보험금의 경우, 여러 가지 이유를 들어서 삭감을 주장하거나 아니면 아예 부지급하기도 합니다.

개인의 입장에서는 대형 보험사와의 이러한 분쟁에 제대로 대응하기가 어려울 수밖에 없습니다.

2. 후유장해 평가의 어려움

후유장해 보험금을 청구하기 위해서는 전문의로부터 후유장해 진단서를 발급받아야 합니다. 하지만 병원에서는 진단서 발급에 소극적인 경우가 많아서, 환자 입장에서 발급 자체가 쉽지가 않습니다.

또한 의사마다 측정치가 다를 수 있어서 객관적인 평가가 필요한데요. 설령 진단서를 받았다고 하더라도, 제대로 된 평가인지 확인이 필요합니다. 그러므로 후유장해 보험금 청구를 위해서는 반드시 전문가와 상담하신 후 진행하시는 것이 좋습니다!

image

먼저 의뢰인께서는 공신력 있는 제3병원의 전문의로부터 객관적인 후유장해 진단서를 발급받을 수 있었는데요. 이러한 진단서를 근거로 한 손해사정서와 함께 서류 일체를 보내어 보험금 청구를 진행하였습니다.

보험사에서는 역시 대폭 감액 소견을 보내왔는데요. 자체 의료심사에 근거하여, 이 환자의 경우 영구장해가 아닌 한시장해를 주장했습니다. 또한 고령 및 기왕증으로 인한 사고 기여도 역시 분쟁이 있었으나, 추가적인 의료 소견 제출 등으로 적절하게 대응할 수 있었습니다.


마침내 최종 결과로 의뢰인께서는 후유장해 보험금으로 약 1,100만 원을 수령하실 수 있었습니다. 쉽지 않은 상황이었지만, 그래도 고객께서 최선의 보상을 받도록 도와드릴 수 있었던 사례였습니다^^

image


그렇다면 지금 전문가 무료상담 받아보시기 바랍니다! 보상 진행 과정, 예상 수령 금액 등에 대해 친절하게 설명해 드리도록 하겠습니다. 저희 《보상파트너》는 실력 있고 경험 많은 손해사정사와 보험사 조사관 출신의 직원이 함께하고 있습니다. 본 블로그의 수많은 보상 사례 참조하실 수 있습니다. 후유장해 관련 문의사항이나 궁금하신 점 있다면 아래 방법으로 편하게 연락 주시기 바랍니다. 감사합니다!

무료 상담 신청

image