안녕하세요, 손해사정 전문 **「보상파트너」 **입니다! 운전하시는 분들 항상 출퇴근길에 안전 유의하셔야 하는데요. 오늘 사연의 주인공께서는 출근길에 차에 끼임 사고를 당하셨습니다.ㅠㅠ 그래서 복합적인 보상을 받으셨는데요. 바로 산재보험, 자동차보험, 개인보험 이렇게 총 세 군데에서 보상을 받으셨죠.
그럼 이제부터 고객 실제 사례 소개와 함께, 출근길 교통사고 발생 시 제대로 보상받는 방법도 공유하도록 하겠습니다!

S 님께서는 출근길에 차량 운전을 준비 중이셨는데요. 바퀴에 큰 돌이 걸려있어 차가 움직이지 않았습니다. 그래서 돌을 제거하던 중, 차와 전봇대 사이에 몸이 끼는 사고를 당하셨는데요. 구급차 후송하여 응급실로 내원하시게 되었습니다.




병 명:
좌측 쇄골 견봉단의 골절 (S42.05)
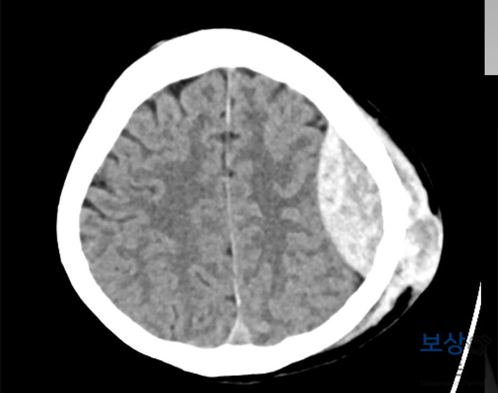
경막외출혈 (S06.4)
좌측 전두엽 부위 외상성 뇌실질내출혈 (S06.3)
좌측 두정골 골절 (S02.0)
이 사고로 쇄골이 골절되셨고, 또한 두개골이 골절되어 경막외출혈 증상까지 있으셨는데요. 쇄골 쪽에는 안정적인 골유합을 위하여 금속핀 삽입하여 고정수술 받으시게 되었습니다.
두개골 쪽은 두정골 절개술, 혈종 제거술을 받으셨는데요. 경막외출혈 증상으로 인해 뇌가 압박되어서 추후에 후유증이 남을 수도 있는 상황이었습니다. 실제로 회복 과정에서우측 편마비 증상이 나타나셨는데요. 손끝에 힘이 들어가지 않아서 일상생활까지 지장이 가는 상황이었습니다.

후유증상이 심각한 상황에서는 이후의 생활까지 준비해야 하는데요. 그래서 제대로 보상받는 것이 상당히 중요합니다. 일단 출근길 사고였기 때문에 산재보험에서 보상이 가능하였습니다. 그리고 교통사고였기 때문에 자동차보험과 개인보험에서도 모두 보상이 가능하였죠.
이런 경우 최대의 보상을 받기 위해서는 보험금 청구 순서가 중요한데요. 대략적으로 아래의 순서로 청구하셔야 합니다.
1. 자동차보험
자기신체사고, 자동차 상해
2. 산재보험
요양급여(급여 치료비) 휴업급여, 장해급여
3. 자동차보험
위자료, 치료비(비급여 치료비) 상실수익액(장해보상) 향후치료비
4. 개인보험
상해관련 보험금(골절비, 입원비) 후유장해보험금
만약 청구 순서가 어긋나게 되면 지급액이 일부 공제되거나 부지급이 되는데요.. (법이 참 이상하죠) 글로 적어놓으니 너무 복잡하시죠? 사실상 이러한 청구 과정을 개인이 진행하는 것은 어렵습니다..
이 정도로 심각한 부상이시면 반드시 전문가를 선임하셔서 보상처리를 진행하시는 것이 필수입니다. (산재보상은 산재 전문 노무사, 자동차보험과 개인보험은 독립손해사정사)

▶ 산재보험 요양급여(급여 치료비): 약 2,800만 원 휴업급여: 약 1,500만 원 장해급여: 약 3,000만 원 산재 장해급여의 경우, 편마비 증상이 인정되어서 「산재 장해등급 9급 제15호」 '신경계통의 기능에 뚜렷한 장해가 남아 노무가 상당한 정도로 제한된 사람' 판정을 받게 되셨습니다.
▶ 자동차보험 위자료, 향후치료비 산재에서 받지 못한 비급여 치료비 산재의 장해급여를 초과하는 장해보상 금액 합계 약 2,400만 원 자동차보험에서는 산재보상에서 없던 항목을 보상받을 수 있는데요. 거기에다가 추가로 산재에서 부족했던 부분들을 채워주는 식으로 보상이 가능합니다.
특히 중요한 상실수익액(장해보상)을 산정할 때에는 맥브라이드 장해분류표를 기준으로 하여 노동능력 상실률(%)을 계산하여 금액을 산정해야 합니다. ▶ 개인보험 골절진단비, 입원일당 상해후유장해 합계 약 800만 원 개인 상해보험은 인보험의 성격으로서 모두 중복 보상이 가능합니다. 진단비나 입원비는 병원 서류 제출만으로 비교적 쉽게 지급됩니다.
다만 후유장해 보험금은 지급심사가 매우 까다로운데요. 의뢰인처럼 편마비 증상의 경우, 일상생활 기본동작(ADLS)제한 장해 평가표를 기준으로 하여 후유장해 진단서를 제대로 발급받는 것이 중요합니다.

이처럼 S 님의 보상 과정은 굉장히 길고 복잡했는데요. 1년이 넘는 기간 동안 재활치료와 보상을 같이 진행하게 되었습니다. 그래도 고객의 편에서 최선의 보상을 위해 노력한 결과 산재보험, 자동차보험, 개인보험에서 총 1억 원이 넘는 보상금을 수령하실 수 있었습니다!
의뢰인께서도 잘 협조해 주셔서 성공적으로 끝날 수 있었던 사례였습니다.

그렇다면 지금 바로 전문가 무료상담 받아보시기 바랍니다! 최대의 보상을 위한 청구 과정과 대략적인 금액까지 친절하게 알려드리겠습니다. 「보상파트너」는 십수 년 경력의 능력 있는 손해사정사와 함께하고 있습니다. 본 블로그에 수많은 보상 사례 있으니 참조하실 수 있습니다. 손해사정사 선임이 필요하시거나 그 밖에 궁금하신 점 있다면 아래 번호로 편하게 연락 주세요.
감사합니다! 무료 상담 신청

