안녕하세요! 고객과 함께하는 보상파트너 입니다. 혹시 경추 골절이라고 들어보셨나요? 바로 척추뼈 중에 목뼈가 골절된 것인데, 상당히 주의를 요하는 부상입니다. 경추 속으로는 전신으로 통하는 각종 운동신경과 감각신경들이 있기 때문에, 자칫하다가는 사지가 마비되거나 심하면 생명까지 위험할 수 있습니다.
또한 알아보셔야 할 것은, 경추 압박골절이라면 후유장해보험금도 신청하여 받으실 수가 있다는 것입니다. 오늘도 실제 사례 소개해 드리면서 보험 청구 과정까지 설명드리도록 하겠습니다!

C 님께서는 집으로 귀가하시던 중에, 집 근처 둔덕에서 발을 헛디뎌서 굴러떨어지게 되셨습니다. 그로 인해 생각보다 심하게 다치셨는데요.


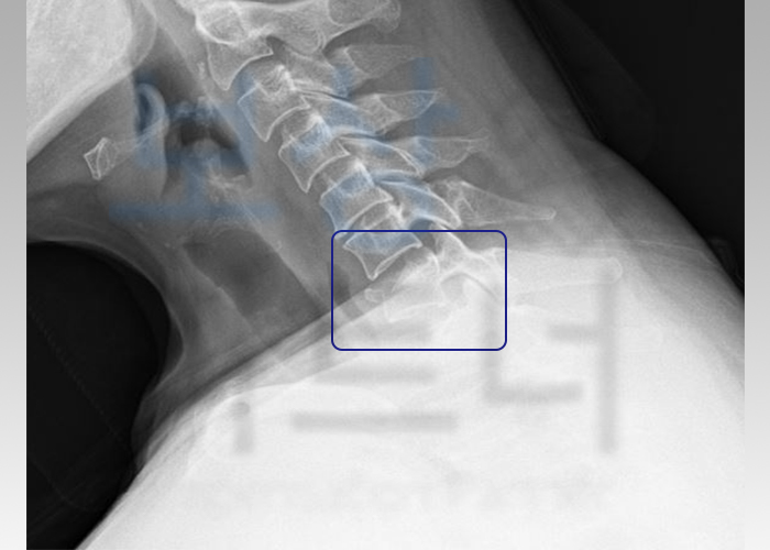
병명: 경추 제7번 방출성 골절 (C7 부위의 골절)
바로 목뼈 중의 가장 아래 부분인 7번 경추 방출성 골절을 당하셨는데요.
방출성 골절이란?
척추체에 위아래로 강한 압력으로 인해, 척추가 찌그러지면서 파괴된 골편이 후방으로 돌출되는 골절을 말합니다. 압박골절의 심한 형태가 방출성 골절이라고 보시면 되는데, 경추에 이런 골절이 발생될 경우에는 척수신경의 손상 위험이 있게 됩니다.
그래서 수술적인 방법으로 치료를 하는 게 안전하고, 보통 척추 고정술이나 척추 유합술을 시행합니다. 방출성 골절로 척추 유합술을 받으실 경우, 보험약관상 척추의 운동 장해에 해당이 되는데, 지급률 기준은 다음과 같습니다.
(2018.04.01 이후 최신 약관)
-
척추에 심한 운동장해를 남긴 때 (지급률 40%)
-
척추에 뚜렷한 운동장해를 남긴 때 (지급률 30%)
-
척추에 약간의 운동장해를 남긴 때 (지급률 10%)
만약 후유장해 보험담보가 있으시다면 본인의 담보금액(가입금액)에서 지급률 만큼 보험금을 청구하실 수 있습니다. 예시) 일반상해후유장해 가입금액 1억 원 척추에 뚜렷한 운동장해로 지급률 30% = 1억 원 x 30% = 3,000만 원

C 님은 결국 척추 유합술을 받게 되셨는데, 고령의 나이 때문에 건강이 좋지 않아서 움직이기가 힘드신 상태였습니다. 보험금 청구를 위해서는 후유장해 진단서를 받아야 했지만 골다공증 등의 기왕력이 있어서 진단서 발급이 쉽지가 않았다고 합니다.
그러던 중에 저희 보상파트너로 연락을 주셨는데요. 친절한 초기상담부터 미팅 면담까지 진행한 후, C 님은 저희와 함께 사건을 처리하기로 결정하셨습니다. 먼저 C 님의 보험증권을 분석해 드렸는데요, "상해사망후유장해담보" 5천만 원 항목이 있었습니다.
이 담보금액 5천만 원에서 장해평가로 인한 지급률 만큼의 보상금을 받으실 수 있는 것이죠. 보통은 후유장해 진단서를 발급받아서 장해를 증명해야 하는데, 환자분께서는 다른 곳으로 이동하여 진단서를 받으실 만한 상황이 아니셨습니다.
그래서 의무 기록을 통한 제3병원 전문의의 의료 자문을 시행함으로, 장해의 증빙서류를 제출하게 되었습니다.


- C7 부위의 압박 골절
- 척추(등뼈)에 심한 운동장해를 남긴 때, 40%
(영구장해)
위와 같은 의료 자문을 받아서 보험사에 의료기록으로 제출하게 되었습니다. 후유장해 보험금은 청구한다고 끝이 아니라, 사실상 이제 시작이라고 할 수가 있습니다. 보험사에서는 각종 이유로서 삭감과 부지급을 주장하기 때문입니다.
이 사건에서도 수많은 보완 자료를 요청했고, 기왕증과 기타 요인으로 인해 삭감을 시도였습니다. 다행히 이 모든 주장에 실무적으로 잘 소명할 수 있었고, 사건이 거의 마무리될 수 있었습니다.

C 님의 후유장해 가입금액 5,000만 원 담보 중에 40%의 지급률이 인정되어서 총 후유장해 보험금 2,000만 원을 보상받으실 수 있었습니다! 증빙 서류 준비부터 보험사와의 의견 차이까지 쉽지 않은 사건이었지만 고객분을 위해 최선을 다해 노력한 결과가 좋게 나와서 아주 의미 있는 사례였습니다.^^
많은 분들이 본인이 가입하신 보험 중에 후유장해 담보가 있으시면서도, 잘 숙지하지 못해서 청구가 누락되는 경우가 정말 많습니다. 보험사에서도 절대 먼저 나서서 챙겨주지 않을뿐더러, 오히려 보험금이 고액이기 때문에 지급금을 줄이기 위해서 조사관을 파견하게 되죠.
이런 경우 보험사에서 전문가를 파견하여 조사하듯이, 보험소비자 역시 전문가를 선임하여 피해를 산정하는 것이 꼭 필요합니다. 보상파트너로 연락하시면 친절한 무료 상담받아보실 수 있습니다. 신뢰할 만하고 경험 많은 손해사정인과 보험조사관 출신이 함께하고 있으므로, 부담 없이 보상 가능성 알아보시면 좋겠습니다.
최근에 날이 많이 추워졌으니, 항상 감기 조심하시고 미끄럼 사고도 조심하시기 바랍니다! 감사합니다.
