안녕하세요, 보상파트너 손해사정팀입니다! 예기치 못한 사고로 부상을 입으신 분들 너무나 속상하시죠? 자칫 부주의로 넘어지거나 미끄러짐 사고에 발목이 쉽게 다칠수가 있습니다 복숭아뼈나 복사뼈가 골절된 경우에는 치료 받으신 후에도 후유증이 남기가 쉬운데요
후유증이 남아서 고생하는 것도 힘든데, 제대로 보상을 받으시는게 중요하겠죠? 오늘은 관련된 실제 사례를 소개해드리겠습니다~
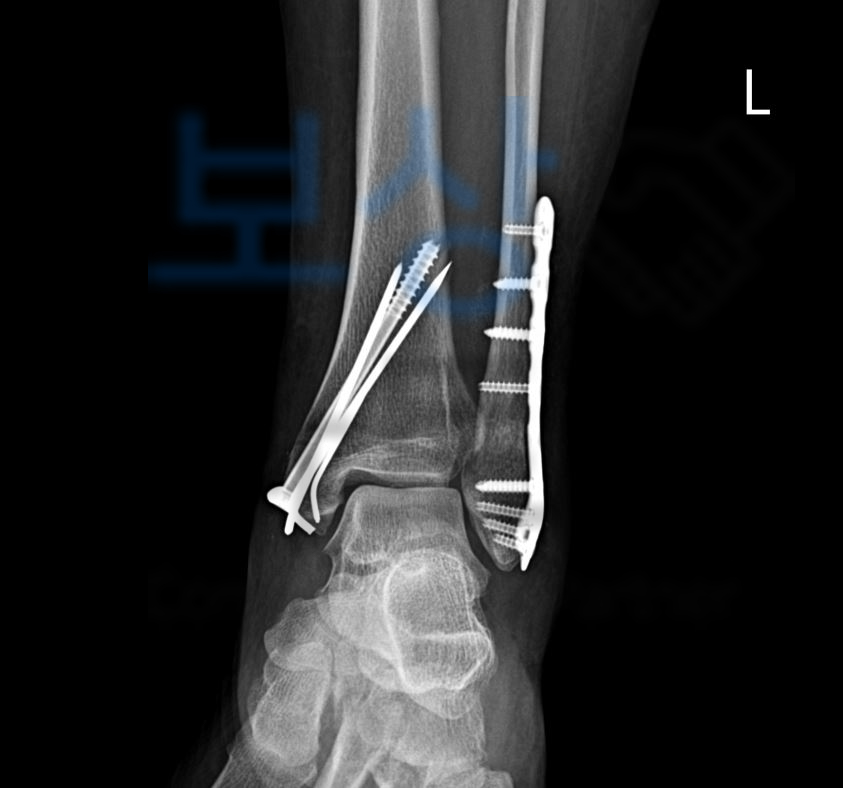
1. 사고 경위 및 상태

의뢰인 께서는 자택 주방에서 발을 헛디뎌 발목이 접질리셨습니다ㅠㅠ 생각보다 심하게 다치셨는데요, 아래를 보시면..

좌측 족관절의 외복사골절,

양측의 복사 골절, 좌측관절 양과골 골절 진단을 받으셨습니다ㅠㅠ 보상파트너는 의뢰인께 보험내역 확인을 요청드렸고, 가입하신 보험증권에서 상해후유장해 항목을 찾으셨습니다.


두 군데 보험에서 상해후유장해 담보 총 1억 3천만원의 가입금액이 있었습니다! 참고로 상해후유장해 항목은 보험료도 비싸지 않고, 후유증이 남을 때 보상에 큰 도움됩니다-_-b
2. 사건 진행 과정
후유장해의 핵심은 객관적인 각도 측정과 영구장해임을 인정받는 것입니다.

보상파트너는 공신력 있는 제3병원의 전문의로부터 후유장해 평가를 의뢰하였습니다 의뢰인은 과연 장해율이 나올까 반신반의 하셨지요.. 후유장해 보험금 지급률은 다음과 같습니다- 의뢰인은 장해진단 결과 약간의 기능장해 5% 평가를 받았고, 저희는 장해진단을 기초로 손해사정서 및 증빙자료를 준비했습니다
3. 사건 결과
결과는 장해율 5%를 인정받아 후유장해 담보금액 1억 3천만원의 5%인 650만원 의 보상을 받게 되었습니다! 의뢰인께서는 생각지도 않았던 보상을 받게 되어서 감사를 표하셨습니다~ 저희도 올바른 보상을 도와드릴 수 있어서 보람있는 시간이었습니다.
위 사례처럼 발목 복숭아뼈 골절 수술 하셨다면, 재활치료 후에도 후유증이 남으셨다면, 내 보험에서 후유장해까지 꼭!! 보상 받으셔야 합니다 보상파트너가 도와드리겠습니다^^ 아래의 이미지를 통해 전화 또는 카톡으로 무료 상담 가능합니다

