손가락 골절 핀
후유장해 보험금 775만원 보상
도와드린 사례입니다.
안녕하세요. 올바른 보험금 보상을 위해 십 수년간 보험 소비자와 함께한 보상파트너 손해사정팀입니다. 오늘은 손가락 골절 핀 수술한 김@@님의 사례를 소개해드립니다. 보상파트너의 실제 사례 읽어보시고 손가락 골절로 핀고정술 하신 환자분이라면 내가 받은 보상도 점검해보시길 바랍니다.
저희 보상파트너에 연락주신 서울시 거주하시는 김@@님은 현장에서 드릴 작업을 하시던 중 재해를 당하게 되었습니다.

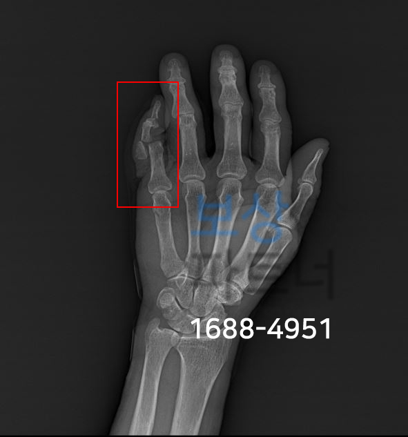
사고 당시 손가락의 엑스선 사진입니다.

김@@님은 5수지의 뼈들을 올바른 자리로 정복하고 핀으로 고정하는 수술을 받으셨죠. 하지만, 수술일 잘 되었음에도 향후 장해의 잔존 가능성을 배제할 수 없었습니다. 오늘의 사례는 단순히 진단서나 입퇴원확인서를 발급받아 청구하면 나오는 보험금 소개가 아닙니다.
바로 **상해후유장해 보험금 ** 즉, 신체에 영구적으로 잔존한 장해를 보상해주는 보험금인데요, 우리가 개인적으로 가입해둔 보험을 보면 주계약, 기본계약 내용에 후유장해 보상이 포함되어 있을 수 있고 혹은 특약으로도 가입되어 있을 수 있습니다.
많은 분들이 후유장해 담보에 가입되어 있으면서도 청구하지 못해 못 받는 보험금 중 하나 입니다. 장해 보상을 받기 위해서는 의료 전문의의 후유장해진단서가 필수 서류로 제출되어야 합니다.
가장 최신 개정된 18년 4월 통합 약관 기준으로
엄지 손가락의 뼈 일부를 잃거나,
뚜렷한 운동 장해가 남은 경우
가입금액의 10% 지급률로 장해 보상을 받을 수 있습니다. 또 엄지 손가락을 제외한 그 외 4개의 손가락에 대해서는 뼈 일부를 잃었거나 장해가 남은 경우 가입금액의 5% 지급률로 장해 보상을 해주고 있습니다.
중요한 것은 발급받은 장해진단서의 객관성과 측정의 공정성을 증명하는 것 바로 대형 보험사를 상대로 증명해야 합니다.

다행히 김@@님은 보상파트너 손해사정팀으로 늦지 않게 연락 주셨기 때문에 사고 이후 적정한 시기에 의뢰인의 장해평가를 진행하기 위해
공신력있는 대학병원의 전문의로부터
AMA 방식의 후유장해 평가를 도와드렸습니다.
그 결과,
수술한 5수지의 원위지관절과 근위지관절 운동이 현저히 제한되었음을 확인할 수 있었습니다. 즉 5수지의 기능장해 5% 지급률로 후유장해진단서를 발급받으셨습니다. 대형 보험사로부터 평가된 장해의 적정성을 증명하기 위해 그간의 사례와 노하우를 녹여낸 손해사정 보고서도 함께 첨부해드렸습니다.
물론 보험사에서도 현장조사를 실시하며 많은 통화와 의료자문, 조사를 이어갔지만 결국 보상파트너의 도움을 받아
상해후유장해 보험금 총 775만원
보상받을 수 있었습니다.!
2011년 12월 가입하신 회사 단체보험 기본계약 일반상해후유장해 1억원 담보 2011년 11월 가입하신 실비종합보험에 일반상해80%미만후유장해 5,500만 원 담보
총 1억 5,500만원의 5%에 해당하는
775만원 입니다.
이처럼 손가락 골절 핀 수술하신 분들은 상해후유장해 보상도 알아보시길 바라며 혹여 나도 도움을 받고 싶다면 아래의 번호, 링크로 연결하시기 바랍니다. 이 외의 보상파트너의 실제 보상 사례 블로그 내에서 확인해보세요.
감사합니다.
