
안녕하세요. 보상파트너입니다. 오늘은 예상치 못하게 산업재해 사고를 당한 환자분들을 위해 산재 장해등급 보상 기준과 보상파트너 사례 소개해드리겠습니다.
보상파트너에 연락주신 의뢰인은 건설 공사 현장에서 일하던 중 낙상사고로 발목에 부상을 입는 재해를 당하셨습니다.

이 사고로 의뢰인은

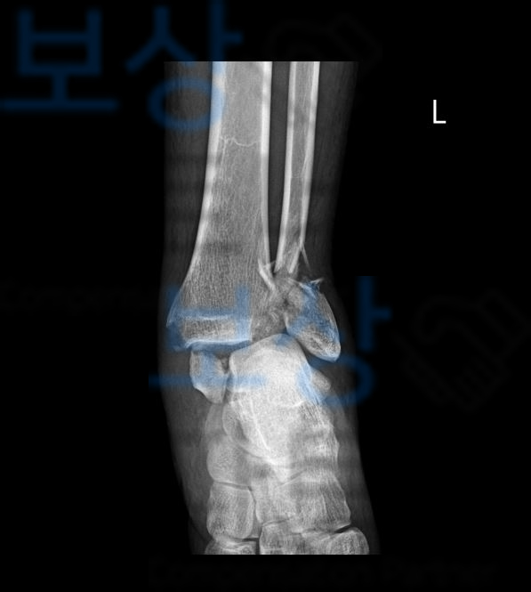
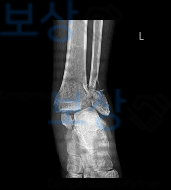
족관절 골절 탈구 s82820 족관절 양과 골절 s930 진단받아 초기 금속외고정을 시행하셨고 이후 금속내고정술로 골절된 골편을 정복하는 수술을 받으셨죠 발목 골절 수술을 2차례 받으셨습니다.
발목 골절 중 양과골절은 발목 관절을 3개의 뼈중 2개의 뼈인** 경골(Tibia)과 비골(Fibula)**의 하단이 골절된 것입니다.
양과골절 즉 발목골절은 뼈와 관절을 이루고 있는 관절면이 함께 손상되는 경우가 많기 때문에 부러진 뼈를 제자리에 맞추는 정확한 정복이 이루어지지 않을 경우 수술하고 골유합이 잘 되었다 해도 외상성 관절염이 발생할 수 있습니다.

따라서 수술하셨다고 해도 향후 통원 및 재활치료에 신경써야 하며 장해의 잔존 역시도 체크해보아야 합니다.
산업재해 사고를 당한 대부분의 근로자들은 회사의 협조 혹은 병원의 협조 아래 최초 산재 신청을 무사히 진행하십니다.

의뢰인 역시 산재 승인 후 요양 중에 장해급여에 대해 알아보시다 보상파트너로 연락주셨는데요, 다리의 장해보상 및 장해등급 판정 기준은 결손, 기능, 변형, 단축 장해로 나뉩니다. 다리의 결손장해는 어디까지 다리의 절단이 시행되었는지 따라 7급 -> 5급 -> 4급 으로 구분됩니다.
다리의 기능장해는 의뢰인처럼 발목 골절 혹은 양과골절, 삼과골절 진단받아 수술하신 경우 발목의 운동범위 즉 위,아래,좌,우 움직이는게 사고 이전에 비해 상당히 제한됨을 느낍니다.
바로 이 운동제한이 어느정도로 되었는지에 따라
12급 -> 10급 -> 8급 -> 6급 -> 5급
으로 구분됩니다.
변형장해는 크게 가관절의 유무로 나뉠 수 있는데요, 가관절이란 골절부의 불유합이 최종 진단되어 더 이상의 골유합이 이루어지지 않고 마치 관절처럼 움직이는 상태를 가리킵니다. 정도에 따라** 12급 -> 8급 -> 7급**으로 구분됩니다.
단축장해는 말 그대로 다리의 단축 정도에 따라 13급 -> 10급 -> 8급으로 구분됩니다.
문제는 산재 장해등급 판정기준에 대해 정보의 불충분으로 환자에게 불리할 수 있고 각도나 길이 측정의 약간의 차이만 발생해도 장해등급이 크게 차이납니다. 따라서 자신의 장해 상태에 맞는 올바른 산재 장해 판정을 받고 등급을 인정받는 것이 중요하죠.

의뢰인 역시 올바른 장해등급을 받기 위해 보상파트너에 무료 상담 요청하셨고 저희 상주하는 노무직원은 상담 후 장해급여 보상에 도움을 드리게 되었습니다.

영상CD, 진단서, 수술기록지 같은 의무기록등을 받아 장해 가능성을 분석했고 실제 의뢰인의 장해 상태가 어떤지 확인하며 올바른 장해등급 평가를 받도록 서류준비를 도와드렸습니다. 이후 산재 종결 시점에 맞춰 마지막 진료받은 산재 지정 병원 주치의 면담도 함께 진행하였고 이후 관할 근로복지공단의 장해 판정 역시 함께 진행한 결과 의뢰인은 자신의 장해에 대해 올바른 장해등급을 받게 되었고 146,000원의 임금에 일시금을 계산한 장해급여 항목의 산재 보상금을 받을 수 있었죠.
장해 보상의 가능성 확인하시길 바랍니다. 보상파트너의 모든 상담은 무료로 제공됩니다. 편하게 연락주시기 바랍니다. 감사합니다.
