
안녕하세요. 보상파트너입니다. 발목의 양쪽으로 돌출되어 있는 뼈를 흔히 복숭아뼈, 복사뼈 라고 부릅니다. 발목 복숭아뼈는 넘어지거나 부딪히거나 미끄러지는 사고에 돌출되어 있는 복숭아뼈가 충격을 받아 부러지거나 으스러지는 골절을 당할 수 있는데요,

복숭아뼈는 발목 부근에 위치한 뼈이기에 골절 시 관절면까지 손상될 가능성이 있습니다. 관절면까지 손상되어 발목 골절의 수술이 불가피 한 경우 대부분** 핀 고정, 금속내고정**을 하는데요, 문제는 발목 복숭아뼈 골절 수술 이후 물리치료와 재활치료를 함에도
발목 관절의 움직임이 제한되는
장해가 잔존할 수 있습니다.
오늘의 포스팅은 골절진단비, 실비, 입원비 등 보험소비자가 알아서 청구할 수 있는 보험금에 대해 소개하는 것이 아닙니다. 내 보험에서 발목 골절 수술 이후 후유장해 까지 보상된다는 사실 알고 계셨나요?
게다가** 핀으로 고정하는 **
금속 고정술 까지 받으셨다면
더더욱 후유장해 보험금 알아보세요. 18년 04월 생,손보 통합약관 기준으로 복숭아뼈 골절로 수술했음에도 발목 관절에 불편함을 호소한다면 관절 하나의 기능에 약간의 장해를 남긴 때 5% 관절 하나의 기능에 뚜렷한 장해를 남긴 때 10% 관절 하나의 기능에 심한 장해를 남긴 때 20% 관절 하나의 기능을 완전히 잃었을 때 30% 의 지급률로 후유장해 보험금이 지급됩니다.
장해 판정 기준 상, 골절부에 금속내고정물로 인해 기능장해의 원인이 되는 때에는 고정물을 제거한 후 장해를 평가 받아야 하며

또한 관절을 사용하지 않아 생긴 일시적인 기능장해는 장해로 평가되지 않습니다. 발목관절의 정상운동범위 ROM은
배굴 20 척굴 40 내번 30 외번 20
총 110도 인데요 발목 복숭아뼈 골절 수술을 했음에도 신체에 후유장해가 남았다고 인정받기 위해선 3/4, 1/2, 1/4 이하의 운동범위 제한이 발생했음을 의료 전문의의 후유장해 진단서를 통해 평가 및 진단을 받아야 합니다.
하지만 많은 분들이 내가 다니던 병원에서 장해 진단이 안된다는 문의부터 시작해서 장해 평가를 받아도 기준에 해당이 안되고 보험사의 조사에 적절히 대응하지 못해서 보험금을 삭감받는 상황이 발생합니다.
보상파트너에 의뢰해주신 이@@님 또한 자택 화장실에서 넘어진 후 발목에 심각한 통증과 부어오름을 호소하셨는데요,

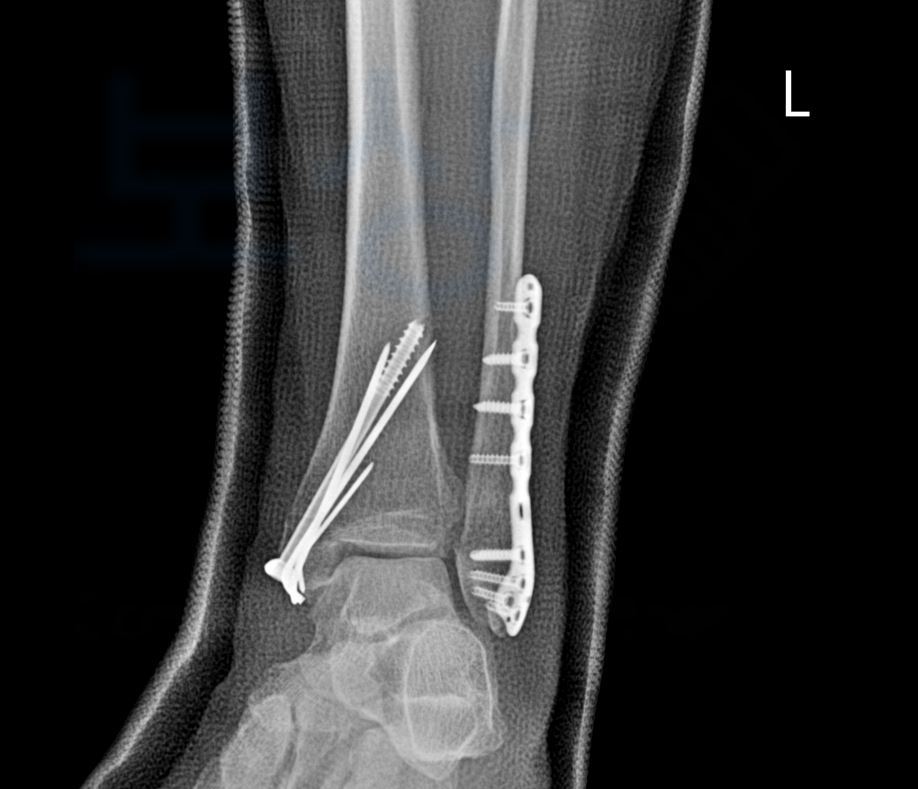
Lt. ankle pain 왼쪽 발목 통증 정밀검사를 받아보니 아래의 사진처럼 흔히 말하는 발목의 복숭아뼈가 골절되어 수술이 불가피 했습니다.

좌측 족관절의 외복사골절, 관혈적 정복 및 금속판 내고정술

의뢰인읜 양측의 복사골절 즉 외복사, 내복사 또는 양과 골절 수술받아 6주 이상의 입원 및 재활치료를 받아야 했죠. 의뢰인은 보상파트너의 도움을 받아 가입하신 보험증권에서 상해후유장해 항목을 찾으셨습니다.

08년 12월 가입하신 보험에서 일반상해 후유장해 (3~79%) 3천만원

16년 5월 가입하신 보험에서 상해후유장해 (3~100%) 1억원 가입되어 있었습니다. 총** 1억 3천만원**의 가입 금액이 형성되어 있었습니다. 위 금액에서 지급률을 계산해
약간의 장해 5%는 650만원
뚜렷한 장해 10%는 1,300만원
심한 장해 15%는 1,950만원
지급되는데요 중요한 것은 객관적인 각도 측정과 영구장해임을 인정받는 것이었습니다.

보상파트너는 의뢰인의 후유장해 보상을 위해
공신력있는 대학병원의 전문의로부터
후유장해 평가를 의뢰하였습니다. 의뢰인은 약간의 기능장해 5% 평가를 받았고 보상파트너는 위 장해진단을 기초로 손해사정서 및 증빙자료를 준비했는데요, 물론 보험사에서도 조사관을 배정하여 각종 자문 동의 및 내부 조사를 이어갔지만 보상파트너는 보험금 산정에 필요한 동의만 응하며 그간의 보상 경험으로 적절한 대응을 한 결과
의뢰인의 올바른 보상 이끌어 낼 수 있었습니다.
발목 복숭아뼈 골절 수술 하셨다면 재활치료를 받고 핀고정물까지 제거하셔도 향후 발목의 움직임에 장해가 잔존할 수 있습니다. 내 보험에서 골절진단비,실비 말고 장해까지 보상받는 합리적인 보험금 받아세요.
보상파트너의 상담은 모두 무료로 진행되며 상담원 연결 후 전문가 배정해드립니다. 무료 상담 방법이 궁금하시다면 위의 글을 참고해주세요 :) 감사합니다.
