
안녕하세요. 보상파트너입니다. 오늘은 업무상 발생한 사고 산재 장해급여 청구 사례 소개해 드리겠습니다.

환자분은 업무 차 방문한 사업장에 잠시 차량을 정차하고 업무를 보셨는데요, 이후 정차해둔 차량으로 돌아오던 중
우측 버스 바퀴에 발이 깔리는
사고를 당하셨습니다.

다행히 발가락에만 부상을 당하셨고 다른 부위에 부상은 없으셨는데요,

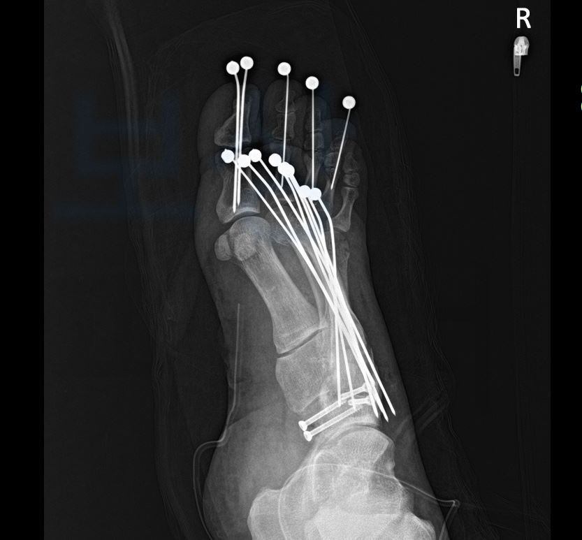
다발성 발가락 압궤손상으로 1 ~ 5번 족지 모두 금속으로 고정하는 수술을 받으셨어야 했습니다.

하지만 수술을 받았다고 해서 모두 끝이 아닙니다. 수술 이후 괴사 및 골수염 감염 등의 위험이 있기 때문에 경과 역시도 잘 살펴봐야 하죠. 먼저 산재 사고인 경우 관할 근로복지 공단으로 산재 신청을 하실 수 있습니다.
가장 간단한 방법은 회사를 통해서 하시거나 병원 원무과를 통해 진행하실 수 있는데요!

산재 최초 요양신청서를 작성하신 이후 주치의의 초진 소견서를 받아 관할 근로복지공단으로 제출하시면되십니다. 관할 근로복지 공단에 제출된 이후 관할 공단은 그 사실을 보험가입자(사업주)에게 알리고, 보험가입자는 10일 이내에 의견서를 제출합니다.

업무상 질병 및 사고라는 사유가 명확한 경우 보통7일 이내에 요양 승인 여부가 결정되지만 만약 구체적인 사실 관계 확인이 필요할 경우 처리 기간이 지연될 수 있죠. 의뢰인의 경우 다행히 회사의 협조가 잘 이루어져 업무상 사고 인정을 받아 산재 보험 상병 승인되었습니다.

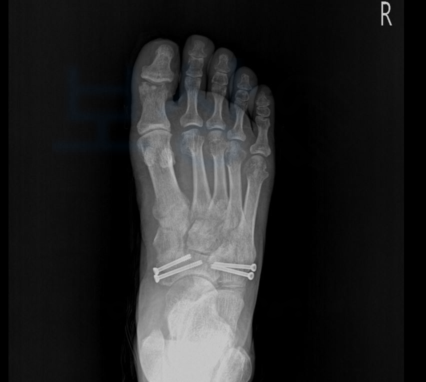
위 인정된 상병명을 보시면 **우측 2~5족지 개방성 골절 **및 발등의 골절 모두 인정받았죠. 산재 신청이 무사히 완료된 의뢰인은 휴업급여도 지급받으시며 산재 요양을 받게 되었는데요, 안타깝게도 엄지 발가락의 골절 부위에 골수염이 발생하여
1족지 즉 엄지발가락을
절단술을 시행하셔야 했습니다. 😭

보상파트너에 상주하는 노무 직원은 의뢰인의 산재 요양기간동안
올바른 장해등급 인정을 위해
제출해야 하는 서류를 준비해드렸습니다.

이후 산재 종결 기관의 주치의로부터 장해 진단을 받아야 하는데 함께 진행 도와드렸고 이후 관할 근로복지 공단에 출석해 진행하는 장해 판정 또한 함께 진행해드렸죠. 서류 준비와 올바른 장해 평가 및 진단 정말 중요합니다.
이러한 노력의 결과

의뢰인은 산재 장해등급 준용 11급 인정받게 되어
산재 장해급여 29,341,780원
지급받을 수 있었습니다.

산재 장해등급 올바로 받기! 처음 겪는 사고에 정말 막막해하시는 분들이 많습니다. 십수년의 경력을 보유한 보상파트너에 문의해주세요. 언제나 무료 상담으로 맞춤 상담 도와드리겠습니다. 구체적이고 분명한 상담을 위해서는 영상CD, 진료차트, 사고 경위 등등의 서류 확인이 필요합니다.
참고 부탁드립니다.
참고하면 좋은 글들 ▼▼▼ 척추골절 산재장해등급 11급 보상 종골골절 산재장해등급 10급 보상
