
안녕하세요. 지난 포스팅 때, 자동차와 자전거 간 사고로 요추1번 골절된 의뢰인의
개인보험 후유장해 보험금
3,300만 원 보상 사례 소개해드렸는데요, 당시 의뢰인의 경우 자동차와 충돌한 교통사고이기에
교통사고 합의금
남아 있습니다.
오늘은 교통사고 합의금 계산 어떻게 할 수 있는지 설명해드리면서 보상파트너와 함께한 실제 보상 성공 사례 소개해드리도록 하겠습니다. 우선 교통사고 합의금 계산 방법은 크게 2가지가 있습니다.
자동차보험 약관에 따른 지급 기준 방식과 법률상 손해배상액이라는
특인에 따른 산정 방식
의뢰인의 상황에 따라 업무상 유리한 방식을 적용하여 교통사고 합의금 계산을 하게 되는데요, 오늘은** 약관에 따른 지급방식을 설명**해드리며 약관에 따라 산정하는 것과 특인 제도를 활용하여 산정하는 것의 실제 사례를 소개해드리겠습니다.
먼저 교통사고 합의금의 구성 요소는
위자료, 휴업손해, 상실수익액, 향후치료비
등의 항목으로 구성됩니다. 상황에 따라서는 기타 손배금이나 간병비 등이 포함될 수 있지요.
약관상 위자료는 부상등급에 따른 위자료와 후유장해 위자료가 있는데요, 부상등급에 따른 위자료는 나의 진단이 어느 등급에 인정되는지 확인하여 해당하는 위자료를 받을 수 있으며,

후유장해 위자료는 나의 장해상태에 대해 장해진단 즉** 노동능력상실률을 구해** 산정하는 방식입니다. 부상위자료와 후유장해 위자료는 중복지급이 안되기 때문에 둘중 높은 금액으로 보상받습니다.
휴업손해는 말 그대로 교통사고로 인해 휴업한 기간에 대해 수입을 보상해주는 항목입니다. 이때에는 자신의 임금을 증명할 수 있도록 세금신고된 소득을 기준으로 산정하게 됩니다. 또 일을 하지 못한 기간이라해서 통원치료 기간까지 포함하여 산정되지 않고 실무적으로는 입원 일수만 취합하여 산정합니다.
상실수익액은 사고로 인해 신체에 잔존한 장해로 발생하는 수익의 감소를 보상해주는 항목입니다. 따라서 신제에 잔존한 장해에 대해 의료 전문의의 진단이 필요하며, 이때 노동능력상실률과 장해 존속기간에 따라 합의금의 액수가 천차만별로 달라질 수 있습니다.
향후 치료비는 합의 이후에 발생할 수 있는 치료비용에 대한 보상이죠.
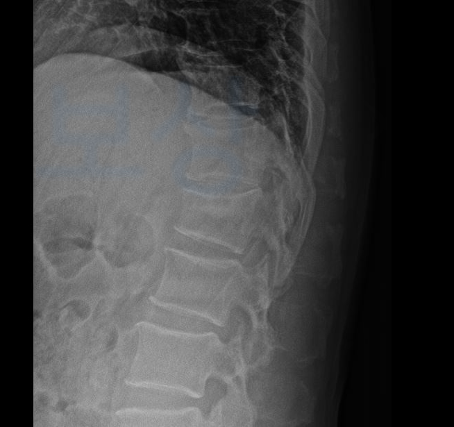
저번에 소개해드렸던 윤@@님 역시 자전거 탑승 중 자동차와의 충돌로 요추골절 진단을 받으셨고 치료가 점점 마무리되어가는 시점, 교통사고 합의금 계산 필요하였습니다. 보상파트너느 의뢰인의 올바른 장해 평가를 위해
공신력있는 제3병원의 전문의로부터
맥브라이드 방식의 후유장해 평가를 의뢰하였고

평가된 장해를 기준으로 의뢰인의 사고경위, 과실, 기존 질병유무 등등 다양한 요인을 고려하여 교통사고 합의금 계산 도와드렸습니다. 추체골절-75%정상-배요부32% 사고관여도100% 7년 한시장해 특인 제도를 활용해 산정한 결과

약 1억 3천만원의
손해배상 금액이 산정되었죠.

위 보험사에서 산정한 약관상 합의금 계산을 확인해보시면 극명한 차이를 볼 수 있죠? 많은 분들이 보험사에서 정말 말도 안되는 금액에 합의를 진행한다는 황당한 사실을 알게 되십니다. 물론 적정한 금액에 합의를 요청하는 보험사도 있지만요~ ^^

이 때문에 교통사고를 당한 많은 환자분들께서 보험사로부터 제의받는 합의금액이 적정한지 많이 문의해주시는데요,
1688-4951
언제나 무.료 상.담이기 때문에 자신이 당한 사고에서 교통사고 합의금 계산


편하게 문의해주세요. 보상파트너는 무조건적인 사건 수임이 아닌 보상 가능성이 있는 사건인 경우에만 충분한 설명 후 진행을 도와드립니다. 부담없이 편하게 문의주세요. 감사합니다.
