
안녕하세요. 보상파트너입니다. 흔히 척추의 범위로는 경추, 흉추, 요추, 천추 및 미추까지 알고계시지만 최신 개정된 보험 약관상 척추로 인정하는 부위는 경추에서 흉추, 요추, 제1천추까지만 동일한 부위로 인정됩니다.
제2천추 이하의 천골 및 미골은 체간골의 장해로 평가하며 척추에는 포함되지 않죠. 특히나 요추1번골절 진단은 척추의 전 후면의 매끄러운 생리적 만곡이 교차하기 때문에 척추 골절이 빈번하게 발생합니다.
or
수술적 치료이던 비수술적 치료이던
요추1번골절 진단받았다면 보험 약관 상 “후유장해”에 해당될 수 있으며 보.험.금 청구할 수 있습니다. 피보험자 혹은 피해자가 사고에 의해 상해를 입었고 그 직접의 결과로서 신체의 일부를 잃던가, 신체의 기능에 영구히 장해가 남은 경우 지급되는 보험금을 의미합니다.
장해의 정도에 의해 약관에 정해진 후유장해등급 구분별로 보험금이 산출되는데요, 요추1번골절 후유장해 평가는 크게 2가지로 구분되며 등급 및 지급율은 아래와 같습니다.
심한 운동장해 40%
뚜렷한 운동장해 30%
약간의 운동장해 10%
심한 기형장해 50%
뚜렷한 기형장해 30%
약간의 기형장해 15%
그러면 어떻게 청구할 수 있을까요?
골절진단비나 실비 청구와 같이 진단서나 영수증만 제출하면 끝이 아닙니다. 상해사고를 입증할 수 있는 서류 뿐 아니라 후유장해의 잔존을 증명하는 의료 전문의의 후유장해 진단서가 필요한데요, 문제는 치료 계획이나 장해 부위에 따라 장해진단 방법이 상이하고 가입한 보험별로 약관도 상이하기에 올바른 장해 평가를 위해서는 전.문. 가의 도움이 필요할 수 있습니다.
그렇다면 보상파트너의 도움을 받은 요추1번골절 보호대 착용하다 허리 수술까지 하신 최@@님은 얼마나 보상 받으셨을까요? 최@@님은 자택 계단에서 발을 헛디뎌 굴러 넘어지는 사고를 당하셨습니다.
사고 이후 최@@님은 극심한 허리 통증을 호소하셨고 병원에 내원하여 정밀검사를 한 결과

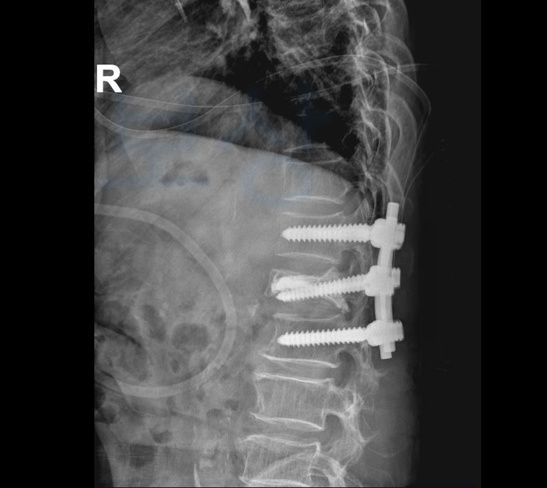
요추1번골절 S32020 진단받아 허리 보호대 (TLSO보조기) 착용하며 요양하셔야 했는데요, 문제는 골절된 척추체가 시간이 경과하며 찌그러지듯 심하게 주저앉게 되었고 결국척추체의 공간을 확보한 후 의료용 시멘트를 주입하여 굳히는 골시멘트술을 받으셔야 했습니다.
하지만 시간이 결과함에도 요추1번골절 호전이 안되었고 결국 척추유합술 까지 받게 되었죠.

먼저 보험증권을 확인하였습니다. 다행히 최@@님의 보험증권을 보니 재해장해급여금, 상해후유장해 (3% ~ 100%) 상해후유장해 (3~100%), 일반후유장해공제금 등
손해보험 후유장해 5천만원
옛날 생명보험 4급에 1천만원
가입되어 있었습니다. 보상파트너는 의뢰인의 보험가입시기에 따라 달라지는 장해 약관에 근거하여 올바르고 객관적인 장해판정을 위해 공신력있는 대학병원의 전문의로부터 후유장해 평가를 의뢰하게 되었고

최@@님은 요추1번골절 옛날 생명보험 약관상 4급,
최근 생손보 통합 약관 상 30%
뚜렷한 운동장해에 해당되었습니다. 보상파트너는 이후 발급받은 후유장해진단서를 기초로 손해사정서 및 관련 증빙자료를 송부하였고 물론 보험사에서는 보험금 지급 전, 내부자문과 의료자문 요청을 하며 낮은 골밀도 수치로 분쟁이 오갔지만 2달여간의 증명하는 과정 끝에 후유장해 보험금 2,500만원!
지급받을 수 있었습니다!
수술이던 비수술이던 요추1번골절 진단받으셨다면 보상파트너에 문의해주세요.
1688-4951
무료상담으로 진행되며 당신의 올바른 보상을 책임지겠습니다. 감사합니다.


