
안녕하세요. 보상 파트너입니다. 손가락골절수술 받아 손가락의 모양도 사고 이전에 비해 회복되지 못한 상황에 손가락의 움직임도 불편하다면 얼마나 속상하실까요.. 그래서 내 보험에서의 후유장해 보험금 청구하여 후유증 보상 꼭 받으세요.
오늘은** 손가락골절수술 후유증이 남는 이유** 그리고 후유증 보상 과정 소개해드리겠습니다.

손가락을 구성하는 조직은
뼈뿐만 아니라 앞쪽과 뒤쪽에는 힘줄이
양쪽에는 신경과 미세한 혈관들이 위치하고 있습니다. 손가락의 이러한 형태와 구조로 정밀하고 섬세한 움직임을 할 수 있는 반면 사고를 당한 경우 큰 불편함을 초래하죠. 대부분의 경우 기계를 작동하다
손가락이 끼이거나 절단되거나 낙하물에 의한 압궤 손상이 형태로 골절됩니다. 따라서 골절의 형태도 안 좋아서 수술 자체가 어려운 경우도 있고 수술이 잘 이루어진 듯해도 피부 괴사가 진행되어 변연 절제술을 진행하거나 심지어 절단술을 시행하고 고정해둔 핀을 제거한 후 재활치료를 시행해야 하죠.
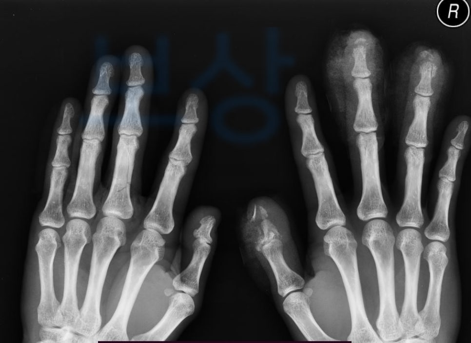
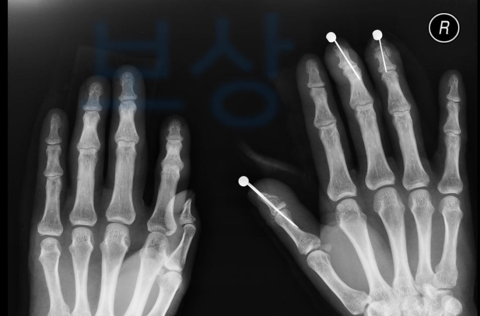
김@@님의 보상 사례 함께 보시며 내 사고와 비교해 보세요. 회사에서 일하시다 낙하물이 손에 떨어져 산업재해 사고를 당하셨습니다.

김@@님은 응급실 내원하여 정밀 검사를 받으셨고 손가락골절수술 시행하게 되었죠.

양손에 낙하물이 떨어져 압궤 손상 진단을 닿았고 양손 다 골절 및 힘줄 손상에 혈관도 손상되었습니다. 진단코드는 s678 및 s6253, s6262, s6264, s6558, s6688 김@@님은 손가락골절수술 후 재활치료를 받고 계셨는데요,

여전히 손가락의 움직임이 예전 같지 않아 인터넷에 검색해 보시다 보상 파트너의 블로그를 보고 연락 주셨습니다.
손가락의 후유장해 보상은
아프고 불편하다고 해서
모두 지급되는 것이 아닙니다.
가입시기 별로 상이한 장해 약관에 부합하는 장애에 대해서만 보상이 가능한데요, 보상 파트너는 김@@님이 올바르고 객관적인 보상을 받을 수 있도록 ** 제3병원 대학병원의 전문의**로부터 후유 장해 평가를 의뢰하였습니다.

그 결과 최근 생손보 약관 상으로 **엄지손가락의 뚜렷한 장해 10% **와 옛날 생명보험 급수 장해는 6급에 해당되었습니다. 보상 파트너는 평가된 장해 진단을 기초로 손해사정서와 증빙자료를 각 보험사에 송부하였습니다.
보험사에서도 청구된 건에 대해
조사관을 배정하여 내부 의료자문까지 거친 후
평가된 장해 진단이 과대평가되었다는 내용으로 지급율 삭감을 진행하려고 했지만 보상 파트너는 분쟁의 요인에 대해 미리 파악하고 대비해 두었기 때문에 평가된 장해를 증명할 수 있는 자료를 송부했고 결국 저희가 처음 청구한 생손 보상 지급률 10% 와 옛날 생명보험 6급 인정되어
후유장해 보험금 1,700만 원
지급받을 수 있었습니다. 손가락골절수술 후 재활치료 중이라면 후유증 보상도 꼭 알아보세요.
" 혹시 나도..? "
라는 생각이 드신다면 편하게 보상 파트너로 연락 주시기 바랍니다.
1688-4951
전. 화. 상. 담과 카카오톡 문. 의도 가능하니 주저 없이 이용해 주세요 ^^


보험소비자의 권익 보호 보상 파트너입니다. 감사합니다.
