
안녕하세요 보상파트너입니다. 오늘은 버스사고 발생 시 내가 다쳤을 때! 보상 방법 소개해드릴게요.

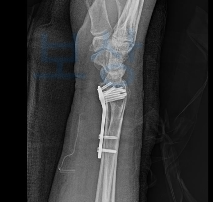
실제 저희가 진행해드렸던 김@@님은 버스요금을 내신 뒤에 의자를 향해 가시다가 버스가 급정거를 하는 바람에 뒤로 넘어지며 손목을 다치는 사고를 당하셨는데요, 이처럼 내 실수인지/ 버스의 잘못인지 과실 산정이 애매한 상황에서!
보상파트너로 문의주시는 많은 분들이 위와 같이 버스사고에 대해 문의를 많이 해주시는데요, 일단, 버스내에서 사고가 발생했다면 버스회사에 연락하여 보험접수를 하시는게
제일 깔끔! 제일 간단! 합니다.
버스회사에 보험접수를 요청하신다면 버스회사에서는 보험 접수를 위해 사고 당시 cctv나 관련인들을 조사할 수 있고 그 이후 보험 접수가 진행될 수 있기 때문에 하루에서 이틀정도는 기다려주셔야 할 수 있습니다 ^^ 그렇다면 전국버스공제조합으로 문의하셔서 당시 사고 상황이나 보험접수 등등을 문의해보실 수 있습니다~ 여기서 주의할 점은 본인의 실수로 다친 상황에서는 당연히 보험처리는 안되겠죠~ 보험접수를 무사히 하셨다면 합의금이 산정이 제일 큰 문제일 텐데요,

합의금은 통상적으로
위자료, 휴업손해, 상실수익액, 향후치료비
로 구성됩니다. 그중에서도 대부분의 합의금을 구성하는 휴업손해와 상실수익액은 입원을 하신 경우 그 일수가 계산되어 휴업손해가 지급이 되고 장해가 남은 경우 앞으로 잔존한 노동가능연령에 비례해 보상되게 됩니다.

이 과정 중 노동능력상실률 확인하기 위해
전문의의 맥브라이드방식의
후유장해진단서도 필요하죠. 합의금은 지금의 질환이
향후 충분히 호전이 된다면
위자료, 휴업손해, 치료비정도로
구성되어 보상되게 됩니다.

장해의 잔존으로 인한 합의금 계산은 피해자의 연령, 소득, 장해의 정도 등등에 따라 달라지는 부분이기에 궁금하신 분들은 보상파트너로 연락주시구요~ 또 버스사고 발생 시 합의금 뿐만 아니라 지자체 가입된 시민안전보험 에서 혹은** 내 보험에서도 후유장해보험금** 보상 받을 수 있습니다!
지자체 시민안전보험 꿀팁! 놓치지 마세요! 장해 진단, 합의금 산정이 궁금하시다면 주저말고 보상파트너로 연락주세요.
1688-4951
언제나 무료 상담 도와드립니다 ^^


감사합니다
