
안녕하세요 보상파트너입니다. 빙판길, 빗길, 또는 실수로 넘어지는 사고 많이 겪으시죠. 그런데 넘어져 골절되어 단순히 뼈만 잘 붙으면 된다. 혹은 수술만 잘 끝나면 된다라는 생각으로 한달 두달을 기다리시는 분들 가운데 안타깝게도 만성 골수염 진단을 받는 사례가 나오고 있습니다.

골수염은 재발이 많고 다른 염증 질환과 비교했을 때 치료기간도 길기 때문에 많은 환자분들께서 불안감과 고통을 호소하시죠.
후유장해 보험금도 알아보세요!
후유장해는 향후 신체에 잔존하는 영구적인 훼손 혹은 제한된 상태를 의미합니다.
따라서 보험약관상 환자의 장해가
영구장해인지, 혹은 한시장해인지
장해의 정도가 어느정도인지에 따라
보험금이 지급되는 금액이 달라지죠.
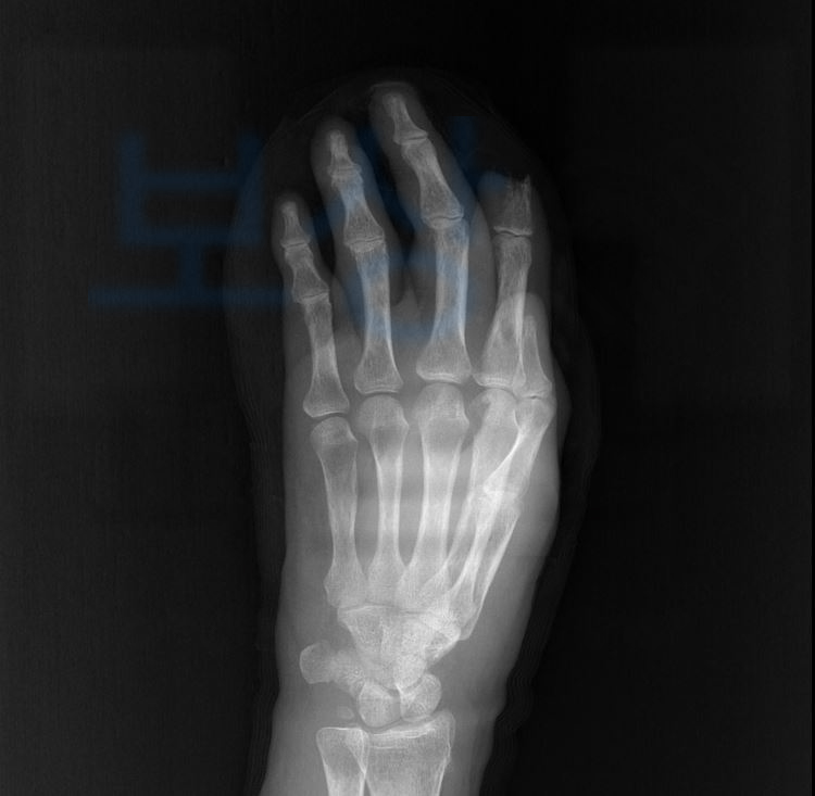
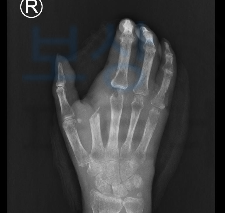
박@@님은 휴대폰을 잡고 넘어져 손가락의 뼈까지 골절되는 깊은 상처를 입고 말았습니다. 하지만 당시 겪었던 사고를 대수롭지 않게 여겼고 핀 고정술 후 고객님은 자연스레 손가락이 회복될거라고 생각하셨는데요

그런데.. 점차 나아지지 않고 점점 부어오르고 심해져가는 열감에 병원을 다시 내원해보니 손가락의 골수염 진단을 받게 되었습니다.

손가락 골수염의 진행을 막기 위해 2수지, 3수지까지 절단술을 감행하는 안타까운 사례였죠. 많은 분들이 개인적으로 처리하실 때 약관상의 내용을 보시고
2수지, 3수지 절단에 대한 부분만
장해진단을 진행하십니다. 보상파트너는 박@@님의 객관적이고 공정한 보험금을 위해 보험약관에 근거한 장해를 모두! 검토하였습니다. 이후에 의뢰인의 장해에 대한 객관적인 근거자료 제출을 위해
공신력있는 대학병원의 전문의로부터
후유장해 진단을 진행하였고 그 결과 의뢰인은 무려 각 손가락의 장해 뿐 아니라 손목관절의 운동범위도 제한되는 심한 장해에 해당하였고 총 55%의 지급율에 해당하였습니다.

위 장해진단서를 보시면 손목관절의 심한 장해 20% 각 손가락의 뚜렷한 or 절단 장해 35% 여기서 끝이 아니라 보험금 지급의 적정성을 증명하기 위해 손해사정서 와 증빙자료를 함께 각 보험사에 송부하였는데요,

물론 보험사에서는 운동범위에 대한 분쟁 즉 손목과 손가락의 운동범위가 제한된 범위에 대해 의료자문 및 내부 심사를 진행하며 높은 지급율에 까다로운 심사를 이어갔지만 결국 보상파트너가 청구한 지급율 모두 인정받아!
후유장해보험금 2,750만 원
지급받을 수 있었습니다.
꼭 손가락의 골수염 뿐 아니라 손가락의 골절, 절단 손목 수술을 받으신 경우도 후유장애보험금 확인해보셔야 합니다.
1688-4951
보험소비자의 권익보호 보상파트너입니다.


