
안녕하세요. 보상파트너입니다. 오늘은 최신 약관의 장해평가 방법 기준으로 설명해드리면서 보상파트너만의 실제 보상 사례도 함께 소개해드리겠습니다! Heel bone 의무기록지를 보면 calcaneous 으로도 많이 기재됩니다.
흔히 발뒤꿈치로 생각하시는 부위가
종골입니다.
족근골의 하나로서 발목의 움직임에도 영향을 주는 부위입니다.

보통 종골의 골절은 높은 곳에서 추락하는 사고를 당해 발생하며 따라서 골절선이 좋지 못하고 심지어는 분쇄골절의 형태로 향후 치료가 어려워지기도 하죠. 종골의 후유장애 평가 방법은 이러합니다.

관절기능 측정은 산업재해보상보험법의
정상인의 평균 운동가능영역(ROM)
과 환자의 장해상태를 비교하여 후유장해를 평가하게 됩니다.
종골의 경우에 맞춰 기능장해 설명을 해드리자면, 30% 지급율은 관절 완전 강직 20%지급율은
운동범위(ROM) 1/4 이하 제한
10%지급율은
운동범위(ROM) 1/2 이하 제한
5%지급율은
운동범위(ROM) 3/4 이하 제한
인 경우에 따라 지급율이 달라집니다.
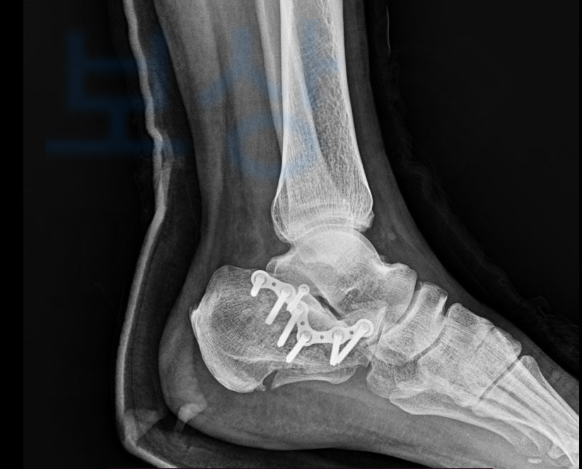
보상파트너의 실제 보상사례 놓치지 말고 함께 확인해보세요! 황@@님은 일하시다 2m 높이에서 추락하는 사고를 당하셨습니다.

위 사고로 인해 엑스선상에 보이는
발 뒤꿈치 뼈의 골절 즉

좌측 종골의 분쇄골절 s92
진단을 받아 핀고정 후 최소 전치 8주 요양이 필요하셨습니다. 저희는 먼저 고객님의 보험가입 시점과 약관을 파악하기 위해 보험증권을 요청해 분석하였습니다. 이후 진단서, 영상CD, 의무기록등을 받아 환자의 장해상태 내에 적정한 보상 범위를 예상하여 안내를 드렸는데요, 저희의 십수년 경력과 자신있는 상담에 믿고 맡길 수 있다는 생각이 들어 후유장애 청구를 맡겨주셨다고 합니다.
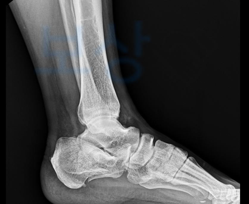
저희는 후유장해 진단이 가능한 시점에
공신력있는 대학병원의 전문의로부터
후유장해 진단을 받았는데요,
역시나.. 저희가 예상한 범위내에 장해를 인정받으셨죠.

정상인의 운동범위는 족관절 110도 이지만 의뢰인의 운동범위는 55도로 딱 1/2제한이었습니다.
(많은 분들이 후유장애보.험.금 청구시
의료 전문의로부터 후유장해 진단부터
발급되지 않아 애를 먹으십니다..
사실 주치의에게 요청하시거나
혹은 보험사에 문의하셔서
발급 가능한 병원으로 방문해도 되지만
과연 보험소비자의 입장에서
객관적이고 공정하게 믿을 수 있을까요? )
거두절미하고 다시 본 사례로 돌아와서 저희는 발급받은 장해진단서를 기초로
보험금 지급의 적정성을 증명하는
손해사정서 및 증빙자료를 송부하였습니다.
각 보험사에서는 받아본 자료를 심사하며 각종 정보열람 요청, 의료자문 등등 보험금 지급까지 약 2달간의 기간을 소요했습니다.



700만 원 입니다.
여러분의 종골골절 보상! 보상파트너와 함께하여 올바르게 받으세요.
1688-4951
- 무료 상담 * 보상파트너는 환자의 장해내에서 올바르고 객관적인 보험금을 위해 노력합니다. 감사합니다.


