보상파트너 블로그

전방십자인대재건술 했다면? 슬관절의 후유장해 (후유증) 보상 확인해보세요!

안녕하세요.

전방십자인대재건술 했다면? 슬관절의 후유장해 (후유증) 보상 확인해보세요!
Table of Contents

image


안녕하세요. 보상파트너입니다. 후유증 보상 즉 후유장해! 꼭 알아보세요! 저희가 진행한 실제 보상 사례 소개해드리겠습니다.


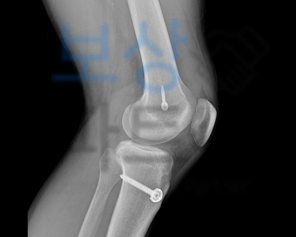
조@@님은 회사 축구대회에서 축구를 하시다 다리가 비틀어지면서 무릎을 다치는 사고를 당하셨습니다.

image

위 의무기록을 보시면 Lt Knee pain왼쪽 무릎의 통증 적혀있고 사고 경위 역시도 축구 도중 수상함 으로 적혀있습니다. 위 사고로 문의주신 고객님은

image

슬관절 전방십자인대파열 s8352

슬관전 반달연골 파열 s8322

진단을 받았고 전방십자인대재건술 을 받아 8주진단 요양을 하셔야 했죠.


다행히 당시 비교적 젊은 나이셨기에 사고를 당한 다른 환자들보다 호전이 잘 되셨는데요, 십자인대재건술은 의학기술 발달로 재건술의 성공율이 매우 높으며 수술 이후 재활치료도 병행하기 때문에 다행히 호전되는 경우가 많습니다.

하지만..! 그것마저도 회복되는데에 개인적인 차이가 존재하기 때문에 어떤 분들은 거동시 다리가 툭툭 떨어지거나,, 또** 흔들거리고 어긋나는 느낌을 호소**하시죠.

image

전방십자인대파열로 재건술을 받은 경우 바로 이 무릎의 흔들거림 즉 동요도를 근거로 장해를 평가합니다. 무릎의 동요관절을 평가할 때에는 건측과 환측을 비교하는데요, 바로 이 객관적 검사상 차이나는 동요도로 관절의 기능에 약간, 뚜렷한, 심한 순으로 보험금을 지급하게 되죠.

image

그런데 문제는, 위 검사 과정과 장해평가시에 전문의의 주관적인 판단이 포함될 수 있고 또 실제로 측정하는 의사마다 동요도에 약간의 차이가 있기에 그 차이로 인해 보.험.금의 지급이 결정됩니다.


고객님은 객관적이고 공정한 보.험.금 지급을 받기 위해 저희 보상파트너로 연락주셨고

image

저희는 의뢰인의 보험증권을 우선적으로 확인하여 후유장해 보험금 청구가 가능한 상황인지 파악하였습니다. 그 결과 고객님의 모든 보험 종합하여 후유장해 5천만원 담보 형성되어 있었죠.

image

보험금 청구의 가능성을 확인하였고 이후 진단서, 영상CD, 의무기록을 받아 사고 경위 조사 및 약관에 근거해 보험금을 산정해드렸고

공신력있는 대학병원의 전문의로부터

환자의 장해와 적합한 장해평가를

진행하였습니다.

그 결과 의뢰인은

image

6mm 이상의 관절 동요로 약간의 장해 5% 지급율에 해당했죠. 저희는 위 후유장애진단서를 기초로 보험금 청구를 진행하였고 적정성을 증명하기 위해 의사자문 및 증빙자료도 함께 송부했습니다.

물론 대형보험사에서도 심사를 진행하며 사고의 원인과 장해 기여도, 각종 정보 열람 동의를 요청하며 내부 및 의료자문을 시행하였지만

보상파트너의 후유장해 십수년 경력으로

적절한 대응을 펼쳤고 그 결과,

5% 영구장해 모두 인정받아

후유증 보상 250만 원

지급받을 수 있었습니다.

그럼에도 보상을 이끌어낸

보상파트너의 실제 사례들 확인해보세요.

아래 번호로 문.의 가능합니다.

1688-4951

상담은 무.료.로 제.공.됩니다.

image

image