보상파트너 블로그

Malleolus? Tibia? 발목 골절 진단 받았다면 장해보상도 받으세요!

안녕하세요.

Malleolus? Tibia? 발목 골절 진단 받았다면 장해보상도 받으세요!
Table of Contents

image


안녕하세요. 보상파트너입니다. 골절진단비나 실비 말고도 후유증 즉 장해 보상도 받을 수 있다는 것! 알고 계셨나요?

몰랐어도 지금 준비하시면 됩니다.

보상파트너의 실제 사례 소개해드리겠습니다.


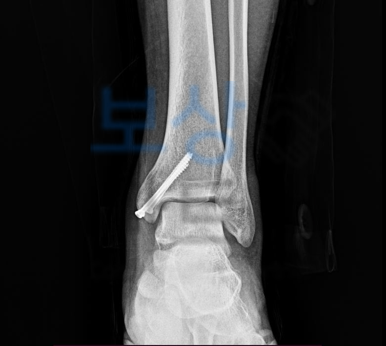
강@@님은 사내 축구경기 중 발목이 골절되는 사고를 당하셨습니다.

image

위 진단서를 보시면

Malleolus Fx -> 복사뼈 골절

Of Tibia -> 경골의

즉 발목골절진단으로 핀고정을 하셔야 했습니다.

image

수술 후 사진도 함께 보시죠. 먼저,** 산재보험**과 일반 생손보험에서 보상가능합니다. 저희 보상파트너는 산재사고를 당한 재해자의

장해급여 청구를 도와드리고 있습니다.

의뢰인은 산재 종결 전, 저희 보상파트너에 늦지 않게 연락주셔서 상주하는 노무 직원을 통해 영상CD와 의무기록, 사고경위 등을 분석 후 기본 상담을 도와드렸습니다.

image

이후 장해급여 청구 서류 준비와

장해 소견서 발급 전 주치의 면담.

관할 공단의 장해판정까지 함께 진행하여

image

산재 장해등급 제12급 10호

발목의 기능 장해로

산재 장해급여 12,561,780원

지급되었습니다. 저희 보상파트너를 통해

산재 장해급여 청구만이 아니라

생손보험 후유장해보험금 청구도

함께! 진행할 수 있습니다. 보통 2업체를 선임하시지만 한 업체에서 모두 처리한다는 것!

고객님 입장에서 번거롭지 않아

훨씬 수월하게 진행하실 수 있죠.

image

생손보험의 보험약관을 보시면 산재 장해소견서가 아닌 AMA방식의 장해진단서를 요구합니다. 또한 보험의 가입시기마다 약관이 개정되면서 장해율 즉 지급율도 변경되었기에 보험증권의 분석도 필수적이죠.

저희는 올바르고 분명한 장해판정을 위해 공신력있는 제3병원의 전문의로부터 장해 진단을 받았습니다.

image

이후 대형보험사로 손해사정서 및 관련 증빙자료를 송부하였습니다.

image

물론 보험사에서는 사고경위, 기여도, 장해의 기한, 관절의 운동범위 의료자문 등등

보험금 지급에 대해 부정적이었지만

저희 보상파트너의 보험지식과 십수년의 경력의 적절한 대응으로 후유장해보험금 300만원 받았습니다.

image

image

향후 잔존하는 장해까지 보상받으세요. 1688-4951 언제나 무료 상담입니다. 감사합니다.