
안녕하세요. 보상파트너입니다. 오늘도 저희가 진행한 실제 보상 성공 사례 소개해드리겠습니다.
손@@님은
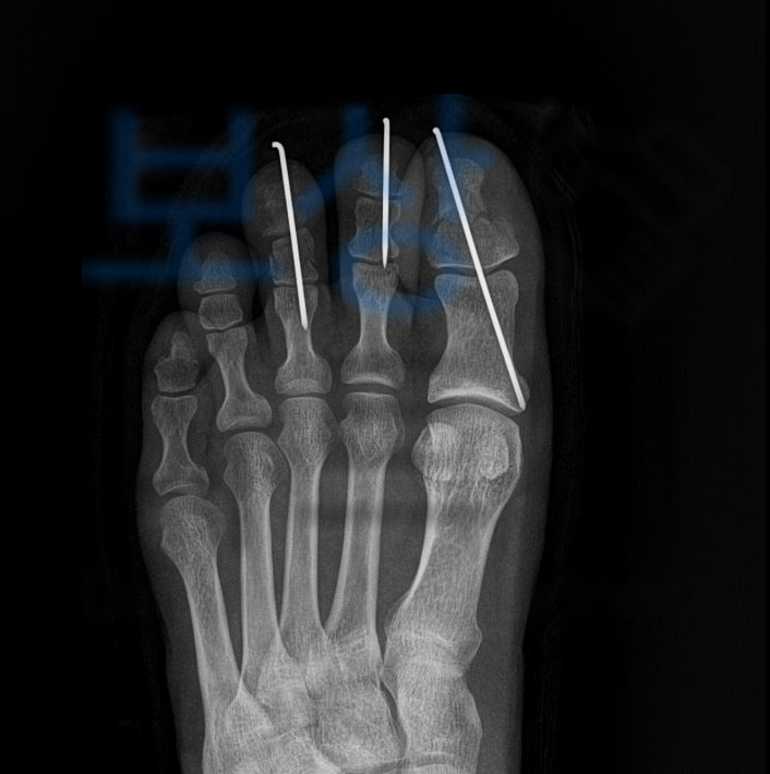
작업중 합판이 발가락 위로
떨어지는 재해를 당하셨습니다.

위 사고로 급하게 응급실을 가셨고

엄지발가락 골절부터
가운데발가락의 골절로 핀 고정술을 받으셔야 했습니다. 먼저 일하다 다친 사고이기에 의무보험인 산재보험에서 보상받을 수 있습니다. 의뢰인은 원무과의 도움으로 산재 최소 신청을 무사히 진행하셔서 요양급여 및 휴업급여를 지급받고 계셨는데요,

문제는 치료 이후 장해급여 였습니다.
의뢰인은 골절된 부위에 핀 고정술을 하셔서 향후 발가락의 움직임 즉 운동범위 기능을 장해 진단을 받으셔야 했는데요,

발가락의 운동각도 즉 움직임은 각도 측정하는 사람마다 달라질 수 있기에 분쟁이 다분한 부분입니다. 의뢰인은 자신의 상태에서 올바르고 분명한 장해보상을 위해 저희 보상파트너에 연락주셨고 상주하는 노무 직원을 통해 산재 장해급여 청구를 진행하게 되었습니다.

의뢰인의 요양기간동안 산재 장해급여 청구의 서류들을 준비했고 종결시점 주치의 면담 진행과 관할 공단의 판정까지 함께 진행한 결과! 산재 장해등급 11급 제10호 임금의 220일의 일시금이 지급되어 산재 장해급여 36,938,000원 받으셨습니다.
내가 가입해둔 보험에서도 장해 급여 처럼 후유증 및 장해 보상을 받을 수 있는데요, 저희는 먼저 가입하신 보험증권을 받아 가입시기, 담보를 분석했고 후유장해보험금 청구도 위임받아 진행하게 되었습니다.

올바른 보상을 위해 공신력있는 제3병원의 전문의 로부터 후유장해진단을 받았고 손해사정서 및 관련 증빙자료를 보험사에 송부하였는데요, 물론 보험사에서는 심사를 진행하며 긴 시간동안 의료자문을 받고 자료 첨부 보완등을 요청했지만!
결국 저희가 청구한 지급율 모두 인정받아!
엄지부터 중지발가락의 장해 14%
후유장해보험금 560만원 받으셨습니다. 당신의 보상파트너와 함께하세요.
문의전화는 1688-4951
언제나 무료 상담입니다.


![엄지발가락 골절, 산재 보상금부터 내 보험 후유증 보상까지! [성공 사례]](/_next/image?url=https%3A%2F%2Fagqdgbuateknhwpocrgu.supabase.co%2Fstorage%2Fv1%2Fobject%2Fpublic%2Fassets%2Ftaesung%2Fblog%2Fblog-222400288194%2F00_1ac4a1a10a.jpg&w=3840&q=75)