보상파트너 블로그

손가락 개방성 골절 산재 보상금과 일반 생손 보험 후유 장해 보상 사례

안녕하세요.

손가락 개방성 골절 산재 보상금과 일반 생손 보험 후유 장해 보상 사례
Table of Contents

image


안녕하세요. 보상파트너입니다. 오늘도 저희가 진행한 실제 보상 사례 소개해드리겠습니다.


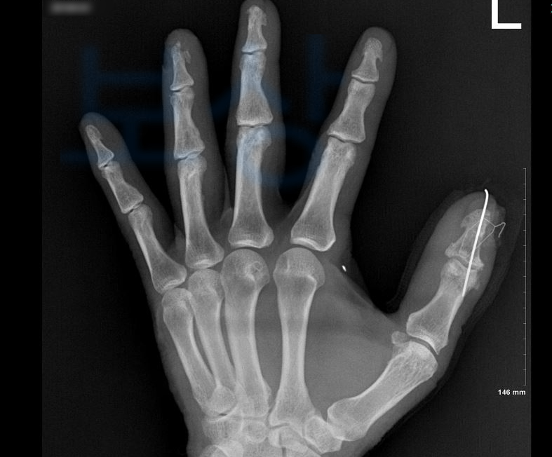
김@@님은 합판을 재단하시던 중 그만… 손가락을 다치는 재해를 당했습니다.

image

위 재해로 받은 진단은

image

무지 원위지골 개방성 골절

환지 원위지골 개방성 골절

압궤 손상을 동반한 골절이었죠. 먼저 일하시다 혹은 출퇴근 중 발생한 재해라면 산재보험에서 보상 가능하십니다. 대부분 많은 분들이 회사에서 병원 원무과를 통해 최초 산재신청은 무사히 하십니다.

image

하지만 신체에 영원히 잔존하게 된

장해급여는 어떨까요?

평생의 후유증 즉 장해 보상이기에

더더욱 올바로, 분명하게

보상받으셔야 합니다.

김@@님은 저희 실제 사례를 보시고 직접 연락 주셨는데요,

image

상주하는 노무직원이 기본적인 상담을 도와드린 이후 산재 장해급여 청구를 위임받게 되었습니다. 저희는 의뢰인의 요양 기간 동안 서류 준비뿐만 아니라 종결 시점에도 장해 상태에 대해 주치의 면담이 이루어졌고 이후 관할 공단의 판정 역시 함께 진행하였습니다.

image

그 결과! 산재 장해등급 13급 인정받았습니다. 99일치 임금을 일시금으로 받으실 수 있었죠.

image

김@@님의 장해, 요양, 휴업급여를 포함한 모든** 산재 보상금은 23,059,450원입니다.** 저희는 김@@님의 보험금 청구를 위해 일단 보험 증권을 분석해드렸습니다.

image

이후 김@@님의 올바른 장해 진단을 위해 주치의의 소견서를 요청했고 보험금 지급의 타당성을 제시하는 손해사정서와 관련 증빙자료를 보험사에 송부하였습니다.

image

물론 보험사에서는 약 1달간 각종 의료자문, 정보 열람 등을 요구하며 긴 시간 심사와 자료 보완을 요청했지만 보상 파트너의 적절한 대응 끝에 저희가 청구한 15% 지급률 모두 인정받아 **후유장해보험금 450만 원 **지급받았습니다.

보상 파트너는 당신과 함께 합니다.

1688-4951

상담은 무료로 진행됩니다. 편하게 연락 주세요.

image

image

감사합니다.