
안녕하세요. 보상파트너입니다. 오늘도 실제 보상사례 소개해드리겠습니다. 이@@님은 톨게이트 부근에서 요금 납부를 위해 속도를 줄이다 뒤에서 속도를 줄이지 못한 차량에 의해 후방추돌 사고를 당하셨습니다.
위 사고로 이@@님은 극심한 허리 통증을 호소했고 정밀 검사 상 나온 진단명은

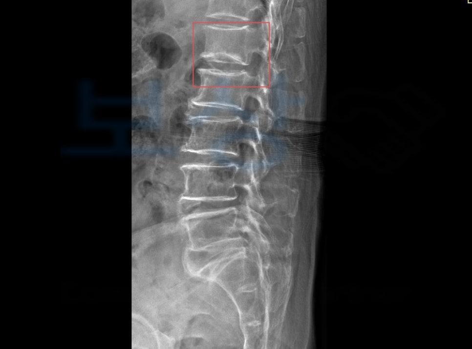
L1 부위의 골절 s32020
경추 염좌, 요추 염좌 진단을 받으셨습니다.

위 사고로 이@@님은 최소 6주간의 요양 및 허리보조기 착용이 필요하셨지요.

이@@님은 옛날에 가입하신 생명보험사의 보험 1개에 장해 보상에 대한 항목이 있으셨습니다.

이@@님께 보험증권, 진단서, 영상CD 등의 상담에 필요한 자료들을 받아 기본적인 상담을 도와드렸고 저희 보상파트너는 후유장해보험금 청구를 위임받았습니다.
생명보험사든 손해보험사든
후유장해보험금 청구를 위해서는
의료 전문의의 후유장해진단서가 필요합니다.
공신력있는 제 3의 병원의 의료전문의로부터 후유장해진단서 발급을 받게 되었고 그 결과 의뢰인께서는

**척추에 경미한 장해 15%**에 해당하셨습니다. 저희는 위 진단서를 기초로 손해사정서 및 관련 증빙서류를 검토 및 준비하여 보험사에 청구하였습니다. 물론 보험사에서는 심사를 진행하여 내부자문, 의료자문등을 거쳐 약 2달간의 분쟁이 오갔지만, 결국!

저희가 처음 청구한 급수 인정받아
후유장해보험금으로 550만원
지급받을 수 있었습니다.
위와 같이 요추1번 골절로 최소 6주에서 그 이상~! 안정을 취하셔야 하나요? 당신의 보험금을 지켜드리는 보상파트너로 연락주세요.
1688-4951
언제나 무료 상담입니다.


감사합니다.
