보상파트너 블로그

복사 골절, 발목 S82820 산재 약 1,500만 원 보상, 개인보험 900만원 보상 사례

안녕하세요.

복사 골절, 발목 S82820 산재 약 1,500만 원 보상, 개인보험 900만원 보상 사례
Table of Contents

image


안녕하세요. 보상파트너입니다. 오늘도 실제 보상 사례 여러분들께 공유해드리겠습니다.


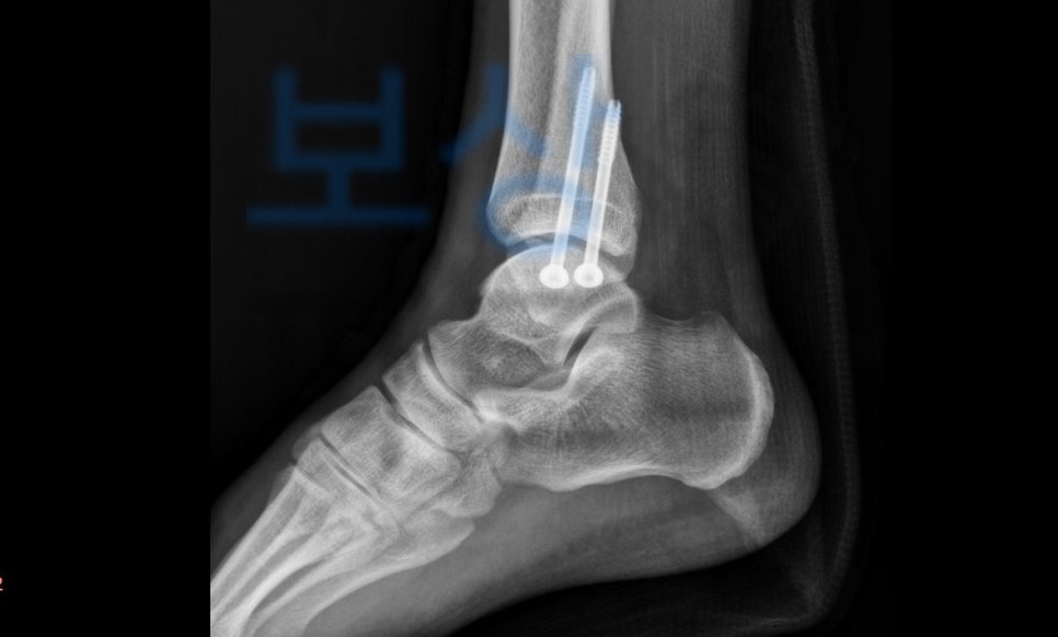
황@@님은 자신의 앞에 있던 지게차가 갑자기 후진하여 발목 부근을 충격하는 재해를 당하셨습니다.

image

이 사고로 황@@님은

image

양측 복사 골절, 발목, 폐쇄성 S82820

진단을 받아 금속고정술을 받아 6주간의 안정이 필요하셨죠.

image

하지만 6주 이후에도 재활치료와 물리치료와 같은 통원치료를 해야했고 몇 개월 동안 일을 하지 못하셨습니다. 근무중 다친 사고이기 때문에 사업장에 의무적으로 가입된 산재 보험을 통해 보상받을 수 있습니다.


산재에서는 치료비와 입원비와 같은 요양하는데 필요한 비용을 보상해주는

요양급여

일을 못하는 기간에 대해 70% 보상해주는

휴업급여

모든 치료가 마치고 난 후에도 잔존하게 된 신체에 장해에 대한 보상

장해급여

이렇게 크게 3가지 항목으로 보상받을 수 있습니다.


많은 분들이 요양급여, 휴업급여는 회사나 병원 원무과의 도움으로 무리없이 신청하여 승인되지만

image

장해급여는 주치의의 소견서와 공단의 장해 판정이 필요하기 때문에 자신의 장해보다 못한 등급을 받으시는 경우가 있는데요, 황@@님은 그러한 경우를 대비해 저희 보상파트너에 연락주셨고 상주하는 노무 직원은 승인 상병명과 의무기록, 영상CD를 받아 기본적인 상담을 도와드린 후

image

산재 장해급여 청구를 위임받아 처리하게 되었습니다. 산재 같은 경우 치료 종결 시점 장해급여 청구를 진행합니다. 따라서 요양기간동안 황@@님의 호전상태를 체크하며 산재 종결시점에 맞춰 주치의 면담을 진행하며 장해 소견서를 받아 관할 근로복지공단으로 발송하였습니다.

image

그렇게 황@@님께서 받은 판정받은

산재 장해등급은!!

10급! 14호!!

발목의 뚜렷한 기능장해 인정받아

산재 장해급여만 15,288,372원

지급받으셨습니다.


뿐만 아니라 황@@님의 개인보험에서도 장해보상 항목이 있었는데요,

image

전문의의 후유장해 진단을 위해 공신력있는 타병원의 전문의로부터 후유장해진단서 발급을 진행하게 되었고

image

역시나… 황@@님의 상태는

image

관절의 기능에

뚜렷한 장해를 남긴 때 10%

영구장해에 해당하셨죠. 저희는 장해진단서와 함께 손해사정서를 작성해서 각 보험사에 송부하였고 물론 약 2달간의 내부자문과 보완요청 등의 분쟁이 오고 갔지만 결국!! 저희가 처음 청구한 10% 모두 인정받아 후유장해보험금으로 900만원 지급받으셨습니다.

보상파트너와 함께 하셔서 당신의 올바른 보험금 찾아가세요! 언제나 무료 상담입니다.

1688-4951

image

image

감사합니다.