
안녕하세요, 보상파트너입니다. 오늘도 실제 보상 사례 소개해드리겠습니다.
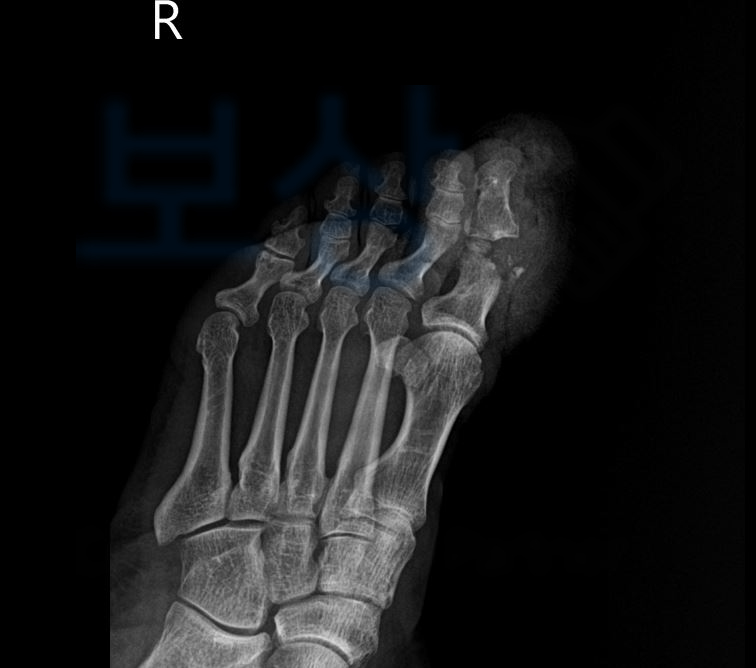
고@@님은 벌목 작업 중 기계가 미끄러져 엄지발가락을 다치게 되는 사고를 당하셨습니다.


1족지 심부역상
1족지 무지신전건 파열
1족지 지간관절 골 손상 S92.41
진단을 받았고

위와 같이 골절된 파편을 모아 금속 핀으로 고정하는 수술을 받으셨습니다. 사업장에 의무적으로 가입되어 있는 산재보험을 통해 보상받으실 수 있습니다. 고@@님은 다행히 보상파트너를 만나기 전
병원 원무과의 도움을 받아
산재 최초 요양과 휴업급여를 무사히 신청하여 수급하고 계셨습니다.

하지만 문제는 향후 장해급여가 고민이었죠.
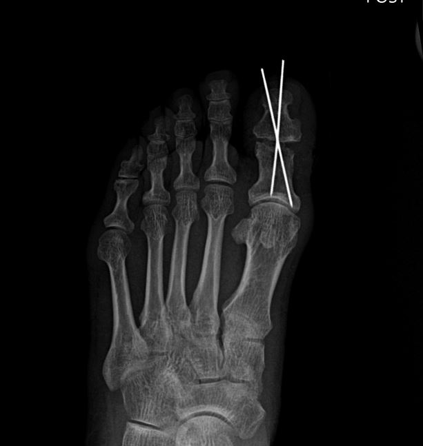
사진을 보셨다 싶이 잘 유합되어
아무 장해가 없는 듯 보였습니다.
고@@님은 혹시 모르니 저희 보상파트너에 문의해주셨고 저희와 상주하는 노무 직원은 사고경위와 영상CD를 보며 긴 상담 후 산재 장해급여 청구를 위임받게 되었는데요,

요양이 끝나는 산재 종결 시점.
주치의 면담을 통해 장해소견서를 받아
관련된 서류를 함께 관할 공단으로
송부하였습니다.

이후 근로복지공단의 장해 판정을 받은 결과
산재 장해등급 12급 14호
엄지발가락의 기능 장해를 인정받아 산재 장해급여를 지급받을 수 있었습니다. 보상파트너에 연락주세요.
1688-4951
언제나 무료 상담 도와드립니다. 감사합니다.


