
안녕하세요. 보상파트너 정팀장입니다. 오늘는 저희가 실제 처리한 사례를 보며 산재 신청부터 장해급여 까지 방법 소개해드리겠습니다. 이번에 소개해드리는 김@@님은 충북 어느 한 공장에서 근무하셨는데요,

위 재해경위 그대로, 콘베이어에 왼손이 빨려 들어가 큰 사고를 당하셨습니다. 이 사고로 인해 김@@님은

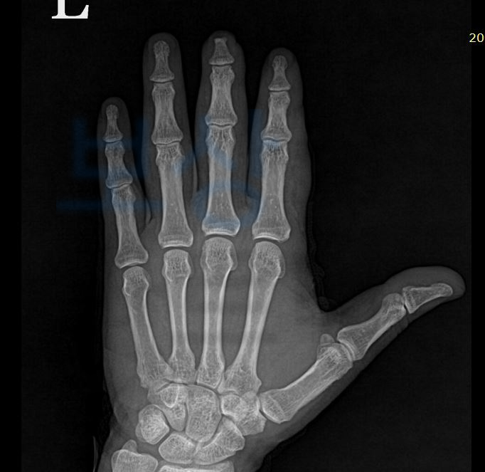
좌측수부 압궤상 손상(탈장갑손상)
좌측 수부 제 2,3수지 신전건 부분 파열
질병분류기호 : S67.8 S66.70 이로 인해 김@@님은 수술적 치료를 받아 4주 진단을 받으셨습니다.

위 사진 처럼 산재신청서(요양급여 및 휴업급여 신청서) 양식 내용을 작성하혀야 합니다. 여기서 주의점은 간혹가다 재해경위를 어림짐작해서 혹은 사업주의 요청대로 약간 다르게 적으시는 분들도 있으신데, 재해경위는 사고 당시 사실 그대로 적으시는 것이 제일 좋으며 그렇게 할 때 추후 보상 관련해서 분쟁을 최소화할 수 있습니다.
산재 신청서를 작성하시고 나면 사업주 날인 후 병원 측에서 산재 소견서를 작성해주실 거에요.

위 서류처럼 작성된 소견서와 산재 신청서는 관할 근로복지공단으로 서류 접수가 이루어지고 보통 7일이내에 산재 승인여부 연락이 오게 됩니다. 이 모든 서류는 보내시기 전에 사본으로 한 부 더 가지고 있다면 추후 사실 내용을 확인 하실 일이 있을 때 번거롭지 않으시겠죠 ^^ 이후 주치의의** 치료 계획에 따라 ** 산재 기간이 결정되는데요, 많은 분들이 산재 종결 이후 장해등급에 관심이 많으십니다.

장해급여를 신청할 때에도 주치의 소견이 첨부되고 공단에서 장해 판정이 이루어지기에 위 과정을 미리 준비한다면 애매한 등급을 확실하게 받을 수 있겠지요.

다행히 김@@님은 산재 종결일 전 저희 보상파트너에 연락주셔서 상주하는 노무사님과 함께 진행하게 되었습니다. 처음 당하는 사고이기에 어려움을 겪으시는게 당연합니다. 보상파트너에 연락주세요.
1688-4951
언제나 무료상담, 편하게 연락 가능합니다.


